Ăn hạt óc chó có giúp trẻ thông minh?"Ăn óc chó cho thông minh" là một trong những câu nói quen thuộc được nhiều gia đình truyền tai nhau. Điều đó có thật sự đúng và ăn như thế nào mới đúng?
Hạt óc chó - Siêu thực phẩm mới!Ăn hạt óc chó vào cuối bữa ăn sẽ giúp giảm thiểu các nguy cơ tiềm ẩn từ thực phẩm giàu chất béo, một nghiên cứu mới đây chỉ ra.
Ăn hạt óc chó có thể làm tăng sức khỏe ruột, giảm nguy cơ ung thưCác nhà nghiên cứu cho biết, ăn nửa cốc hạt óc chó mỗi ngày có thể bảo vệ đường tiêu hóa bằng cách tăng lợi khuẩn probiotic đường ruột và phòng ngừa nguy cơ tim mạch, bệnh não cũng như ung thư.
Clip: Người đàn ông liên tiếp đập vỡ 243 hạt óc chó trong 60 giây đến tóe máu đầuNgười đàn ông đến từ Pakistan đã đập nát liên tiếp 243 hạt óc chó bằng đầu đến tóe máu ở trán, phá vỡ một kỷ lục Guinness được lập nên trước đó.
Bánh Trung thu thực dưỡng cho Tết đoàn viênBánh Trung thu thực dưỡng là sự kết hợp của các nguyên liệu như hạt sen, táo đỏ, mứt, hạt óc chó, mè đen, hạnh nhân, ít ngọt, phù hợp với mọi lứa tuổi.
Ba loại dầu thực vật cần có trong gian bếp người nội trợ nên biếtDầu hạt hồ đào (hạt óc chó), hạt lanh và dầu ô liu được xem là 3 loại dầu hàng đầu về dinh dưỡng thiết yếu rất tốt cho sức khỏe mà bạn có thể dùng trong bữa ăn gia đình hàng ngày.
25 năm dùng lựu đạn làm... chày mà không hay biếtMột người đàn ông sống tại tỉnh Thiểm Tây (Trung Quốc) đã rất kinh hãi khi biết được rằng vật mà mình vẫn dùng để đập hạt óc chó suốt 25 năm qua thực chất là một quả lựu đạn cầm tay chưa nổ.
Hạt có vỏ cứng - Chìa khóa chống ung thư đại tràngĐó là kết luận từ một nghiên cứu mới của trường Đại học Yale, trong đó những người bị ung thư đại tràng và thường xuyên ăn các loại hạt có vỏ cứng - như hạnh nhân, hạt óc chó, hạt phỉ, hạt điều và hạt hồ đào – có nguy cơ tái phát bệnh “thấp hơn đáng kể" so với những người không ăn.
Kỳ dị bánh trung thu Hồng Kông to như pizza, giá 50 ngàn đồng/chiếcBánh trung thu Hồng Kông to như bánh pizza với đường kính lên tới 22cm, nặng 700g, nhân làm từ đậu đỏ và hạt óc chó… đang được rao bán tràn lan trên mạng xã hội với giá siêu rẻ, chỉ từ 60.000-70.000 đồng/chiếc. Thậm chí nếu mua với số lượng lớn giá chỉ còn 50.000 đồng/kg.
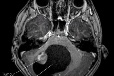
Bé 9 tuổi có u não to bằng…quả camCác bác sĩ đã phát hiện trong não cô bé Eloise Milss, 9 tuổi đến từ Nottingham (Anh) có một khối u to bằng hạt óc chó được bao quanh bởi một u nang có kích thước của một quả cam sau khi cô bé mất đi giọng hát của mình.
Sữa hạt Veyo Smarty - bước tiến của Vinasoy trong khoa học dinh dưỡng thực vậtSự ra đời của Veyo Smarty - sữa hạt cao cấp dành riêng cho trẻ em Việt là bước tiến mới của Vinasoy trong khoa học dinh dưỡng thực vật, là thành quả của hành trình nghiên cứu và xây dựng hệ sinh thái sản xuất qua 3 thập kỷ.