Chồng dùng dao nhọn dài 50cm phóng xuyên lưng vợDo mâu thuẫn, người chồng 47 tuổi dùng dao nhọn phóng xuyên lưng vợ. Nạn nhân may mắn thoát chết.
Mâu thuẫn gia đình, chồng dùng dao nhọn đâm vợ tử vongDo mâu thuẫn gia đình, Lư đã cầm dao nhọn đâm vợ tử vong tại chỗ. Sau khi gây án, Lư đã bỏ trốn khỏi hiện trường.
Người đàn ông bị bạn nhậu ở Lâm Đồng đâm tử vongXảy ra mâu thuẫn trong lúc ăn nhậu, Nguyễn Ngọc Thái dùng dao nhọn đâm vào vùng bụng anh T. làm nạn nhân tử vong.
Thót tim xem cảnh dùng tay không tung hứng dao nhọn lên caoTrước kia, người dân tộc Thổ Gia thay dùi trống bằng dao nhọn để tung hứng kiếm sống. Nhiều người bị thương nặng khi luyện tập bộ môn nguy hiểm này.
Cứu sống bệnh nhân bị dao nhọn đâm thấu ngựcDo mâu thuẫn, nạn nhân bị đối thủ dùng dao nhọn đâm một nhát chí mạng vào vùng ngực. Nhập viện cấp cứu trong tình trạng nguy kịch, nhờ được can thiệp kịp thời, bệnh nhân may mắn qua cơn nguy kịch.
03:55Thót tim xem màn cảnh dùng tay không tung hứng dao nhọn lên caoTrước kia, người dân tộc Thổ Gia thay dùi trống bằng dao nhọn để tung hứng kiếm sống. Nhiều người bị thương nặng khi luyện tập bộ môn nguy hiểm này.
Dao nhọn nằm trong người 3 năm không hay biếtMột người đàn ông ở Canada đã bị một chiếc dao nhọn đâm vào cơ thể và lưỡi dao bị mắc kẹt trong người hơn 3 năm mà hoàn toàn không hay biết.
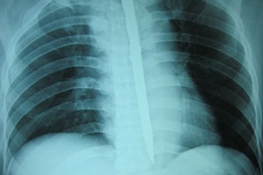
Nuốt dao nhọn dài 15cm để… tự tửVì muốn tự tử, anh Lê Hữu H. (37 tuổi, Thanh Hoá) đã nuốt con dao dài 15cm. Con dao nhọn này đã chui tọt qua cuống họng, chọc thủng thực quản và nằm dọc trong lồng ngực, may mắn không gây nguy hại tính mạng người bệnh.
18 năm tù cho kẻ dùng dao nhọn đâm chết bạn nhậuDo có mâu thuẫn với Sỹ trong quán nhậu, khi đi mua mì tôm sợ bị trả thù, Hưng đã mang theo một con dao nhọn để “phòng thân”. Khi bị bạn lôi ra đánh, Hưng đã dùng con dao này đâm vào người khiến Sỹ tử vong.
Dùng dao nhọn đâm công an sau khi bị nhắc nhở và mời về trụ sở làm việcBị công an mời về trụ sở làm việc, Hải không chấp hành. Phúc từ ki ốt đi ra, dùng 2 dao nhọn tấn công tổ công tác.
Bé gái 2 tuổi suýt mất mắt vì chơi dao nhọnTưởng dao nhọn là đồ chơi, bé gái 2 tuổi cầm dao quơ quơ, chẳng may nhằm trúng mắt mình.
Khởi tố nhóm cướp dùng dao nhọn cướp tài sản của công nhânCơ quan điều tra đã làm rõ, nhóm đối tượng chuyên sử dụng dao nhọn xông vào cướp tài sản của các công nhân, đồng thời đe dọa nếu ai trình báo với cơ quan công an (CA) thì chúng sẽ quay lại trả thù.