Cảnh báo cơn đau ngực có thể giết chết bệnh nhân nhanh chóngVới dấu hiệu bắt đầu từ một cơn đau ngực dữ dội, không được cấp cứu kịp thời người bệnh có thể tử vong nhanh chóng.
Cẩn trọng cơn đau ngực cấp tính báo động bệnh mạch vành nguy hiểmBệnh nhân 69 tuổi (Thường Tín, Hà Nội) đang ngồi bỗng dưng lên cơn đau ngực dữ dội. Khi gia đình đưa đến viện, bệnh nhân được chụp động mạch vành, phát hiện tổn thương xơ vữa gây tắc mạch, đã phải đặt stent để "thông" dòng chảy thông thoáng cho mạch vành.
Bác sĩ Mỹ tiết lộ những cơn đau ngực khủng khiếp trước lúc qua đờiTrong những ngày cuối cùng trước khi qua đời cô độc trên giường bệnh vì Covid-19, bác sĩ Madhvi Aya chỉ có thể nhắn tin cho người thân kể về những cơn đau ngực khủng khiếp mà bà phải trải qua.
Người phụ nữ đột ngột ngưng tim sau cơn đau ngực dữ dộiKhoảng 3 phút sau vào viện, bệnh nhân đột ngột ngưng tim, ngưng thở, không bắt được mạch, huyết áp không đo được... Các bác sĩ cấp cứu kịp thời nên bệnh nhân thoát khỏi "lưỡi hái tử thần".
Người đàn ông ở TPHCM bất ngờ vỡ tim sau cơn đau ngực"Thật sự là tôi chưa nghĩ đến trường hợp vỡ tim khi đã mở ngực và tiệm cận quả tim. Tình huống này xảy ra bất ngờ trong phòng mổ", bác sĩ Bệnh viện Nhân dân Gia Định, TPHCM chia sẻ.
TPHCM: Phát hiện người phụ nữ có nguy cơ đột tử rất cao sau cơn đau ngựcVào bệnh viện vì đau ngực kéo dài không thuyên giảm, người phụ nữ được bác sĩ cho chụp CT, làm các xét nghiệm và phát hiện có nguy cơ đột tử rất cao.
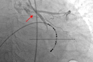
Cứu bệnh nhân người Trung Quốc nhồi máu cơ tim khi đang chơi cầu lôngChỉ trong vòng chưa đầy 1 giờ sau khi xuất hiện cơn đau ngực dữ dội, bệnh nhân nam quốc tịch Trung Quốc, 42 tuổi, đã được cấp cứu và can thiệp mạch vành khẩn tại Vinmec Hải Phòng, thoát khỏi nguy cơ tử vong do nhồi máu cơ tim.
Ngày hút 2 bao thuốc lá, 8X suýt chết vì nhồi máu cơ timTrên đường đi làm, người đàn ông bất ngờ xuất hiện cơn đau ngực trái dữ dội, lan ra tay, kèm theo vã mồ hôi, khó thở.
Cứu sống bệnh nhân ngừng tim 60 phútCó cơn đau ngực trái, nữ bệnh nhân vào viện, được chẩn đoán nhồi máu cơ tim cấp, can thiệp stent động mạch vành. Theo dõi tại phòng sau can thiệp, bệnh nhân đột ngột mất ý thức, ngừng tuần hoàn.
Trào ngược hay đau tim: Khi nào cần lo lắng?Bạn vừa ăn một bữa no nê và cảm thấy nóng rát ở ngực. Có phải bạn bị trào ngược? Có thể, nhưng cũng có khả năng cơn đau ngực là do giảm lưu lượng máu đến tim (đau thắt ngực) hoặc đau tim thực sự.
Các biểu hiện báo hiệu cơn đau timBất cứ ai lo lắng về cơn đau ngực đều không nên trì hoãn việc chăm sóc y tế khẩn cấp. Họ cần gọi cấp cứu ngay lập tức, đặc biệt là nếu cơn đau không rõ nguyên nhân, đột ngột, hoặc nghiêm trọng.
Hành khách người Úc ôm ngực gục xuống sân bayĐang xuống cầu thang chuyến bay quá cảnh ở Tân Sơn Nhất, hành khác mang quốc tịch Úc bất ngờ lên cơn đau ngực dữ dội. Bệnh nhân nhanh chóng được chuyển tới cấp cứu tại Bệnh viện Quân Y 175, các bác sĩ đã nhanh chóng tận dụng “thời gian vàng” can thiệp cứu sống người bệnh.