Giải Nobel Y sinh 2025 mở ra hướng mới điều trị ung thư, bệnh tự miễnNhững khám phá đột phá của 3 nhà khoa học được trao giải Nobel Y sinh năm 2025 đã thay đổi cách các nhà nghiên cứu hiểu về hệ miễn dịch, mở ra cánh cửa mới cho việc điều trị bệnh tự miễn và ung thư.
Sau Covid-19, tỷ lệ mắc bệnh tự miễn tăng caoSau đại dịch Covid-19, tỷ lệ mắc các bệnh tự miễn đang âm thầm tăng. Chìa khóa để bảo vệ sức khỏe chính là chẩn đoán và điều trị bệnh kịp thời.
Bệnh tự miễn có làm tăng nguy cơ ung thư?Có hơn 80 bệnh tự miễn. Một số bệnh tự miễn thường gặp gồm: bệnh tự miễn của tuyến giáp, viêm ruột, lupus, đa xơ cứng, thấp khớp, tiểu đường type 1.
Tìm ra phương pháp mới điều trị các bệnh tự miễnCác bệnh tự miễn, như bệnh tiểu đường loại 1, bệnh đa xơ cứng, nổi tiếng là khó điều trị. Ngày nay, hầu hết các liệu pháp chữa trị nhắm vào cả các tế bào miễn dịch khỏe mạnh và không khoẻ mạnh.
Bệnh tự miễn là gì và tại sao nó lại xảy ra?Theo các chuyên gia Hoa Kỳ, bệnh tự miễn - hệ miễn dịch của cơ thể tấn công các tế bào khỏe mạnh - đang gia tăng và tệ đi.
VinFuture 2023: Giới khoa học hội tụ, tìm giải pháp điều trị bệnh tự miễnBệnh tự miễn trước kia được coi là bệnh hiếm gặp giờ đây trở nên phổ biến trên thế giới, trong đó có Việt Nam. Việc tìm ra giải pháp phù hợp điều trị căn bệnh này không phải dễ dàng.
Mã số 5246: Người đàn ông cô độc mắc căn bệnh tự miễn nằm chờ chếtCăn bệnh quái ác đã dập tắt bao ước mơ của anh Bình. Người đàn ông cô độc, hết tiền chạy chữa, đành nằm chờ chết…
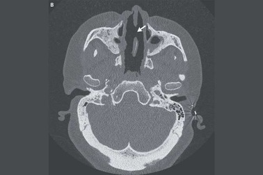
Người phụ nữ bị tiêu mất mũi do bệnh tự miễn hiếm gặpMột rối loạn tự miễn hiếm gặp đã phá hủy sụn và xương trong mũi của một phụ nữ, khiến mũi của bệnh nhân bị xẹp và lún xuống mặt.
Tổng thống Philippines bất ngờ tiết lộ mắc bệnh về hệ thần kinhTổng thống Philippines Rodrigo Duterte thừa nhận ông mắc một chứng bệnh tự miễn liên quan tới rối loạn ở hệ thần kinh và có khả năng gây ra biến chứng nghiêm trọng.
Phát hiện “công tắc” biến thuốc thông thường thành vũ khí chống ung thưCác nhà khoa học đến từ Đại học Southampton (Vương quốc Anh) đã phát hiện ra cách để biến đổi thuốc kháng thể, vốn được phát triển để điều trị bệnh tự miễn thành vũ khí chống lại ung thư.
Bệnh vảy nến có di truyền không?Vảy nến là bệnh tự miễn, không lây nhiễm nhưng tại sao càng ngày lại có càng nhiều người mắc phải căn bệnh này? Nguyên nhân vảy nến là gì và bệnh vảy nến có di truyền không?
Khốn khổ trẻ nứt da, ngứa ngáy vì viêm da cơ địa mùa lạnhTại BV Da liễu Trung ương, tổng bệnh nhân đến khám giảm, nhưng các bệnh viêm da cơ địa, dị ứng liên quan lạnh, bệnh tự miễn lại tăng lên. Đặc biệt ở trẻ nhỏ, nhiều bé ngứa ngáy, quấy khóc vì viêm da.