Người Việt "rước" ký sinh trùng vào người vì thói quen ăn uốngTheo bác sĩ Bệnh viện Bạch Mai, thói quen ăn đồ tái sống, không vệ sinh kỹ bàn tay trước khi nấu nướng hay ăn uống... đều là con đường để ký sinh trùng xâm nhập vào cơ thể.
Những món ăn là ổ vi khuẩn nhưng được nhiều người ưa thíchNhững món ăn tưởng chừng như là sở thích của nhiều người như tiết canh, gỏi sống, nem chua... lại là những thực phẩm có nguy cơ gây hại cho sức khỏe.
Những món ăn quen thuộc trên mâm cơm người Việt là ổ ký sinh trùngViệt Nam thuộc nhóm nước có tỷ lệ nhiễm giun sán cao, chủ yếu do ăn gỏi cá, thịt tái, nội tạng chưa nấu chín, gây ra các bệnh nguy hiểm như sán não, sán lá gan...
Sử dụng lòng lợn tiềm ẩn nhiều nguy cơ sức khỏe nếu không đúng cáchNội tạng nói chung giàu dinh dưỡng nhưng cũng chứa nhiều cholesterol. Chúng có thể chứa vi khuẩn, ký sinh trùng gây bệnh nguy hiểm ở người nếu không được chế biến kỹ và có nguồn gốc không đảm bảo.
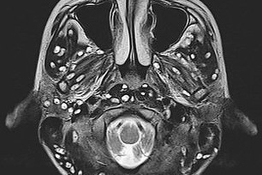
Sán làm tổ trong não vì 3 món nhiều người Việt thường ănChụp cộng hưởng từ sọ não thấy khối tổn thương ký sinh tại vùng não của bệnh nhân do ấu trùng sán dây lợn.
Làm cách nào để nhận diện thịt nhiễm dịch tả lợn châu Phi?Bác sĩ Bệnh viện Đa khoa Quốc tế Nam Sài Gòn cho biết, dù virus dịch tả lợn châu Phi không trực tiếp gây bệnh cho người, nhưng ăn thịt lợn nhiễm bệnh vẫn tiềm ẩn nguy cơ gây hại cho sức khỏe.
Báo động: Nhiều người nhiễm loại giun dài tới 120cmĐến nay, Việt Nam ghi nhận 24 trường hợp nhiễm giun rồng. Đây là loài mới xuất hiện ở nước ta, là một trong những loại giun dài nhất ký sinh trong cơ thể người, với chiều dài 70-120cm.
Sán làm tổ trong não người đàn ông vì món "nhà làm""Thời điểm bị co giật tôi cứ nghĩ rằng mình bị đột quỵ. Tôi cũng rất bất ngờ không hiểu vì sao mình ăn vào miệng mà sán lại bò được lên não", bệnh nhân cho hay.
Ổ sán chi chít trong não người đàn ông vì món nhậu "giải đen"Kiêng món này nhiều năm, bệnh nhân vẫn không thể thoát khỏi di chứng và những cơn đau đầu, co giật, sùi bọt mép.
"Món tủ" khiến người phụ nữ bị sán ký sinh khắp ngườiĐi khám vì bị đau bụng, tiểu buốt, người phụ nữ (50 tuổi, Phú Thọ) bất ngờ phát hiện sán ký sinh quanh người. Bệnh nhân thường xuyên ăn đồ tươi sống, chưa chín như gỏi cá, tiết canh, nem chạo…
Bác sĩ cảnh báo tăng mạnh bệnh ký sinh trùng lây từ thú cưngGiun đũa chó mèo có thể chui vào ký sinh ở phổi, gan, mắt… Khi chết đi, chúng có thể gây hoại tử, tổn thương các tế bào lân cận.
Rùng mình với ấu trùng sán chi chít trong não do ăn thịt lợn chưa nấu chínMột nam thanh niên 18 tuổi sống ở Ấn Độ đã tử vong do nhiễm ấu trùng sán trong não sau khi ăn thịt lợn chưa nấu chín.