Thắt ống dẫn tinh là gì, có dẫn đến yếu sinh lý?Thắt ống dẫn tinh là phương pháp kế hoạch hóa gia đình để tránh tình trạng mang thai ngoài ý muốn. Tuy nhiên, thực tế hiện nay nhiều nam giới còn e ngại khi lựa chọn thực hiện phương pháp này.
Nam giới thắt ống dẫn tinh có con lại được không?Thắt ống dẫn tinh là một phương pháp tránh thai vĩnh viễn với nam giới. Tuy nhiên, tin tốt là bác sĩ có thể nối chúng lại và sau đó nam giới vẫn có thể có con được.
Nam thanh niên bị đứt ống dẫn tinh sau tai nạn giao thôngNam thanh niên mới 21 tuổi bị chấn thương đứt rời ống dẫn tinh. Các bác sĩ đã phải mất 8 giờ đồng hồ nối ống dẫn, đảm bảo sức khỏe sinh sản cho bệnh nhân sau này.
Thắt ống dẫn tinh gây ung thư tuyến tiền liệt?Vì không định sinh thêm con nên tôi định thắt ống dẫn tinh. Tuy nhiên, nghe nói việc này có thể gây ung thư tuyến tiền liệt. Vậy điều này có chính xác không? Ngoài ra xin bác sĩ cho tôi biết thêm một số thông tin về thủ thuật thắt ống dẫn tinh?
Thắt ống dẫn tinh có ảnh hưởng đời sống vợ chồng?Vợ tôi bị yếu tim nên sau khi sinh được một cháu tôi không muốn cô ấy sinh tiếp nữa. Và tôi cũng không muốn vợ phải thực hiện các thủ thuật nếu chẳng may dính bầu vì sức khỏe cô ấy không cho phép.
Thắt ống dẫn tinh, có con lại được không?Chồng tôi đã thắt ống dẫn tinh. Nay chúng tôi muốn có con lại, vậy có thực hiện được không, ở đâu và chi phí là bao nhiêu?
Thắt ống dẫn tinh có ảnh hưởng đến “sức yêu”?Tôi đã có 2 con. Do cơ địa vợ tôi yếu không thể đặt vòng tránh thai được nên tôi rất lo lắng.
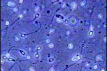
Kỹ thuật thắt ống dẫn tinh làm biến đổi gien"Kỹ thuật thắt ống dẫn tinh có thể là nguyên nhân gây ra đột biến nhiễm sắc thể ở tinh trùng", các nhà nghiên cứu Thái Lan tuyên bố.
Có 8 con với 5 người phụ nữ, Nick Cannon cân nhắc... thắt ống dẫn tinhNam rapper 41 tuổi chuẩn bị đón con thứ 8 chào đời với người phụ nữ thứ 5 muốn sinh con cho anh. Sau tất cả, Nick Cannon thừa nhận rằng anh không định "làm tăng dân số" thêm nữa.
CEO tình nguyện đi thắt ống dẫn tinh và câu chuyện về đàn ông thương vợĐàn ông Việt thương vợ có nhiều cách: Nấu cơm, rửa bát, giúp vợ chăm con, bảo vệ vợ mọi lúc, nộp lương đều v.v… nhưng triệt sản để "thay vợ" kế hoạch hóa gia đình thì vẫn là cách xưa nay hiếm.
Chữa vô sinh bằng kỹ thuật nối ống dẫn tinh - mào tinh hoànTrung tâm Nam học, bệnh viện Việt Đức vừa thực hiện thành công ca nối ống dẫn tinh và mào tinh hoàn đầu tiên cho nam giới. Bệnh nhân là anh N.A.Q., 33 tuổi, làm nghề lái xe, trú tại Đại La, Hà Nội.
Chồng triệt sản, vợ vẫn mang bầuSau khi vợ sinh hai con, Nev Evans đến từ South Wales, Anh đã tiến hành thắt ống dẫn tinh nhưng rồi 5 năm sau, vợ anh lại bất ngờ mang thai.