Trẻ tăng trưởng quá mức, vì sao?
Trẻ tăng trưởng quá mức là mắc Hội chứng Beckwith Wiedemann. Đây là hội chứng có tính di truyền, ảnh hưởng đến nhiều cơ quan với đặc điểm nổi trội là sự tăng trưởng quá mức bình thường.
Hội chứng Beckwith-Wiedemann là bệnh lý bẩm sinh ảnh hưởng đến nhiều bộ phận của cơ thể, với biểu hiện chủ yếu là sự phát triển quá mức bình thường ở các cơ quan này. Sự phát triển quá mức này xảy ra ở trong thời thơ ấu của trẻ. Tuy nhiên, tăng trưởng bắt đầu chậm lại khoảng 8 tuổi. Do phát triển các bộ phận lớn bất thường dẫn đến sự bất đối xứng hoặc không đồng đều trong cơ thể trẻ bệnh.
Biểu hiện bệnh
Hội chứng Beckwith-Wiedemann có thể biểu hiện khác nhau giữa các bệnh nhân: có trẻ chỉ có dấu hiệu bệnh nhẹ, trong khi ở các trẻ khác lại có nhiều triệu chứng bất thường nghiêm trọng. Tuy nhiên, có một số triệu chứng chung cho hầu hết các trẻ em mắc bệnh này. Các đặc điểm nhận dạng chính của hội chứng như sau:
Trẻ mắc bệnh thường bị sinh non nhưng vẫn to hơn và nặng hơn trẻ bình thường, chỉ thời gian của thai kì là rút ngắn hơn. Trẻ có biểu hiện của chứng khổng lồ: chiều cao và trọng lượng tăng bất thường cao hơn so với trẻ cùng tuổi. Lưỡi to là một triệu chứng điển hình: ở nhiều bệnh nhi, lưỡi to và vẫn tiếp tục phát triển có thể gây ngưng thở, ăn uống và nói khó khăn, trong khi trẻ hay chảy nước dãi. Tình trạng này có thể làm tăng nguy cơ mắc các bệnh hô hấp như viêm phế quản hoặc tăng sinh chất nhầy, thậm chí có thể làm cho hàm dưới nhô ra.
Một số bệnh nhân còn có nếp gấp dái tai, đôi khi xuất hiện cùng với các vết lõm phía sau vành trên của tai.
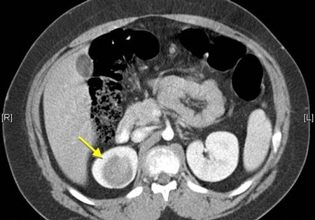
Khối u Wilms là khối u ở thận: có khoảng 7,5% trẻ em mắc bệnh sẽ phát triển u này. Do các khối u tăng trưởng nên trẻ cần được siêu âm bụng hoặc chụp cộng hưởng từ (MRI) 3 tháng/lần cho đến khi trẻ được 7 - 8 tuổi. Tuy nhiên, các khối u giảm dần và thường không phải là vấn đề đáng lo ngại sau khi trẻ 8 tuổi. Tiến sĩ Beckwith khuyên rằng: đứa trẻ nào có anh hoặc chị có một hoặc hai trong số các triệu chứng của hội chứng Beckwith-Wiedemann thì đứa trẻ đó cũng nên kiểm tra siêu âm 3 tháng/lần.

Hình ảnh khối u Wilms trên phim chụp cắt lớp.
Dị tật thành bụng: có thể gây thoát vị làm cho ruột và các cơ quan khác cùng lớp màng bụng có thể trồi ra bên ngoài. Bệnh nhân có thể bị tình trạng thành bụng yếu và cơ bụng chẻ đôi, cơ bụng nhão gây táo bón. Chứng to các nội tạng: các cơ quan trong bụng như thận, gan, lá lách, tuyến thượng thận và tụy thường to bất thường. Hạ đường huyết: bệnh nhân thường bị hạ đường huyết ở khoảng 40% trẻ mắc bệnh sau khi sinh một thời gian ngắn. Tổn thương não và các biến chứng khác có thể xuất hiện nếu bệnh không được chẩn đoán và điều trị sớm. Chứng phì đại nửa người: trẻ bệnh có một bên cơ thể hoặc của một chi phát triển quá mức trong khi phần còn lại của cơ thể phát triển ở mức bình thường. U nguyên bào gan với đặc điểm: nguy cơ khối u giảm dần khi trẻ trên 3 tuổi; khối u chủ yếu được phát hiện bằng siêu âm bụng. Chứng tim to: tim phì đại hoặc dị tật tim.
Hiện nay, nhờ tiến bộ trong lĩnh vực di truyền học đã giúp cho việc chẩn đoán hội chứng thông qua phân tích gen.
Các phương pháp điều trị
Với sự tiến bộ của y học ngày nay, hầu hết các triệu chứng có thể điều trị giảm nhẹ hay giải quyết được với điều kiện bệnh được chẩn đoán chính xác và điều trị thích hợp. Trẻ bị hạ đường huyết thường phản ứng tốt với điều trị bằng hydrocortison, tiêm glucose tĩnh mạch và kiểm soát chế độ ăn uống. Trẻ bị dị tật thành bụng, nếu xuất hiện thoát vị rốn, cần phẫu thuật điều trị sớm sau khi sinh. Trẻ táo bón có thể điều trị bằng thuốc.
Chứng lưỡi to: chủ yếu phải phẫu thuật để giảm kích thước lưỡi. Việc điều chỉnh cách phát âm cần thiết cho một số trẻ. Đối với trẻ bị u Wilms, đòi hỏi phẫu thuật cắt bỏ thận bị ảnh hưởng và có thể dùng hóa trị liệu và xạ trị. Trẻ bị phì đại nửa người có thể được phẫu thuật chỉnh hình.
Phòng tránh bệnh thế nào?
Hội chứng Beckwith-Wiedemann có tính di truyền, vì vậy, việc phòng tránh bệnh là rất khó khăn. Các chuyên gia khuyên rằng: nên tránh kết hôn trong trường hợp cả hai bên gia đình bạn trai và bạn gái đều có người đã bị bệnh này. Việc phát hiện và điều trị bệnh sớm cũng rất quan trọng, vì vậy, mọi người cần nắm chắc các triệu chứng của bệnh để có thể giúp bác sĩ chẩn đoán được bệnh sớm: Các trường hợp trẻ sinh non nhưng vẫn to hơn và nặng hơn trẻ bình thường; Trẻ có chiều cao và trọng lượng tăng bất thường cao hơn so với trẻ cùng tuổi; Trẻ có lưỡi to và vẫn tiếp tục phát triển gây ngưng thở, ăn uống và nói khó khăn... là những dấu hiệu cần đưa trẻ khám sớm. Những trẻ có anh hoặc chị có một hoặc hai trong số các triệu chứng của hội chứng nói trên nên kiểm tra siêu âm 3 tháng/lần để phát hiện sớm các bất thường nội tạng...
Theo BS. Nguyễn Minh Hiền
Sức khỏe & Đời sống










