Răng ê buốt do đâu?
(Dân trí) - Thứ nhất đau mắt, thứ nhì nhức răng. Tuy không đến mức đau đớn nhưng ê buốt răng thực sự gây khó chịu và cản trở bạn thưởng thức nhiều món ăn yêu thích. Vậy có cách nào điều trị chứng ê buốt khó chịu này?
Sử dụng quá nhiều nước súc miệng

Bạn luôn muốn hơi thở thơm mát? Nếu thường xuyên súc miệng bằng nước chuyên dụng hằng ngày, bạn có thể làm tăng sự nhạy cảm của răng. Đó là vì nước súc miệng có chứa axit và nó sẽ làm cho tình trạng ê buốt răng xuất hiện.
Giải pháp: Tham khảo ý kiến bác sĩ về phương pháp florua trung tính.
Ăn nhiều thực phẩm axit
Hạn chế cà chua, quả họ cam quýt, nước quả và các thực phẩm axit ngon bổ khác? Tình trạng ê buốt răng có thể buộc bạn phải như vậy.
Ham thích quá nhiều thực phẩm và đồ uống giàu axit có thể làm mòn lớp men bảo vệ răng, từ đó hình thành các đốm đen (khởi đầu của sâu răng).
Nếu không thể hạn chế những món ăn ưa thích này thì hãy ăn một miếng phô mai hay ly sữa sau khi ăn các thực phẩm giàu axit.
Chất làm trắng răng và 1 số kem đánh răng

Ai cũng muốn có một nụ cười rạng rỡ hơn nhưng đối với 1 số người, chất làm trắng răng và 1 số kem đánh răng có chất làm trắng peroxide có thể gây ra cảm giác ê buốt răng.
Sự nhạy cảm của răng thường là nhất thời và cách chấm dứt hiện tượng này là ngừng dùng sản phẩm làm trắng răng.
Vậy sự lựa chọn nào là tốt nhất với bạn? Hãy trao đổi với nha sĩ.
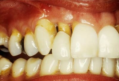
Tụt lợi

Chân răng chứa hàng ngàn ống nhỏ li ti dẫn đến tủy răng. Chân răng được bảo vệ bởi các mô lợi. Nhưng nếu bị bệnh nha chu, lợi bị tụt, chân răng lộ ra thì răng sẽ trở nên nhạy cảm.
Bệnh viêm lợi cần được điều trị bởi nha sĩ.
Chải răng quá kỹ

Bạn nghĩ rằng chải răng thật kỹ sẽ tốt hơn? Hãy nghĩ lại. Chải răng quá nhiệt tình (hoặc dùng bàn chải cứng) có thể làm tổn thương gốc răng do lợi bị tổn thương.
Nó cũng làm cho men răng bị mòn đi, lộ ra lớp ngà răng. Các lỗ li ti ở ngà răng là những ống siêu nhỏ cho phép các thực phẩm nóng, lạnh và ngọt có thể lọt vào tủy răng.
Làm đẹp cho răng
Thật không công bằng nhưng đôi khi giữ cho hàm răng trắng ngọc bằng cách chăm sóc răng miệng kỹ lưỡng lại có thể làm cho răng trở nên nhạy cảm. Lấy cao răng, trang trí răng… đều có thể khiến răng trở nên nhạy cảm.
Nếu cảm thấy băn khoăn về vấn đề này, hãy trao đổi với bác sĩ trước khi thực hiện các dịch vụ làm đẹp răng.
Vỡ răng

Ăn đá, kẹo cứng hay cắn ngập răng đều có thể làm mẻ, lung lay thậm chí gãy răng. Một khi chiếc răng đã bị vỡ thì lớp tủy nằm sâu trong răng sẽ rất dễ bị kích thích. Răng bị mẻ cũng dễ nhiễm khuẩn, dẫn tới viêm đau.
Nghiến răng
Men răng là lớp vật chất cứng nhất trong cơ thể nhưng nó cũng không thể chống chọi với hành động nghiến răng. Do quá trình này kéo dài nên men răng sẽ bị bào mòn dần dần.
Dùng miếng bảo vệ răng, thay đổi lối sống và có một chế độ dinh dưỡng đặc biệt có thể giúp hạn chế tật nghiến răng.
Sâu răng

Sâu răng sẽ khiến cho lớp tủy răng dễ dàng bị kích thích do các thực phẩm nóng, lạnh, ngọt và thậm chí cả không khí có thể lọt vào qua lỗ sâu.
Vệ sinh răng miệng đúng cách, không ăn đồ quá nóng, quá lạnh và đi khám nha sĩ thường xuyên là cách tốt nhất để giữ cho răng luôn ở trạng thái tốt nhất.
Nhân Hà
TheoWMD










