Đi khám vì ho, bất ngờ phát hiện bệnh ung thư tử vong cao nhất thế giới
(Dân trí) - Đi khám ban đầu chỉ với triệu chứng ho, bệnh nhân sau đó được phát hiện có khối u ác tính trong phổi, chưa di căn.
Bệnh viện K cho biết, nam bệnh nhân 59 tuổi đã có triệu chứng ho khan kéo dài, tuy nhiên chỉ nghĩ là bệnh hô hấp thông thường nên không tới khám. Chỉ tới khi các triệu chứng kéo dài trong nhiều tháng, không thuyên giảm thì bệnh nhân mới tới bệnh viện K để thăm khám.

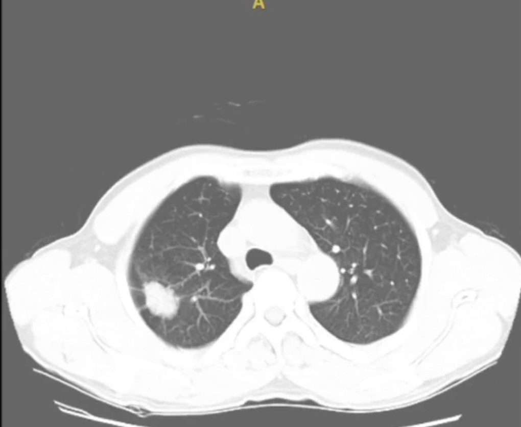
Hình ảnh khối u ác tính trên phổi người bệnh (Ảnh: Bệnh viện K).
Kết quả chụp cắt lớp vi tính cho thấy bệnh nhân có khối u thùy trên phổi phải kích thước khoảng 2,5cm với tính chất hình ảnh điển hình của khối u ác tính. Đánh giá toàn thân bệnh nhân không có di căn, chức năng phổi và tim mạch ở mức bình thường. Bệnh nhân được chẩn đoán ung thư thùy trên phổi phải, giai đoạn I (T1N0M0).
Ung thư phổi là một trong những bệnh lý ác tính có số lượng người mắc và tỷ lệ tử vong hàng đầu trong các bệnh ung thư thường gặp ở hai giới. Theo số liệu thống kê, ung thư phổi đứng thứ 2 về tỷ lệ mắc mới và là nguyên nhân gây tử vong nhiều nhất trong số các bệnh ung thư trên toàn thế giới. Tại Việt Nam năm 2020, tỉ lệ mắc ung thư phổi xếp thứ 2 với 26.262 ca mắc mới chiếm 14.4%, và 23.797 ca tử vong vì căn bệnh này.
PGS.TS Phạm Văn Bình, Phó Giám đốc chuyên môn Bệnh viện K cho biết, biểu hiện của ung thư phổi thường không rõ ràng ở giai đoạn đầu, dễ khiến cho người bệnh chủ quan nghĩ rằng đó là các bệnh hô hấp.
Điều trị ung thư phổi là điều trị đa mô thức, các phương pháp như phẫu thuật, hóa trị và xạ trị, điều trị miễn dịch...
Với nam bệnh nhân này, các chuyên gia Bệnh viện K và Nhật Bản đã cùng phối hợp thực hiện phẫu thuật ung thư phổi ứng dụng hệ thống Robot Davinci thế hệ Xi đầu tiên tại Việt Nam.
Theo PGS Bình, phẫu thuật mổ mở ung thư phổi là phương pháp kinh điển được áp dụng trong điều trị ung thư phổi. Tuy nhiên, phương pháp này thường để lại một sẹo dài gây mất thẩm mỹ cho bệnh nhân, quá trình phục hồi cũng vì thế mà lâu hơn, cảm giác đau nhiều hơn.
Phẫu thuật robot điều trị ung thư phổi có nhiều ưu điểm hơn so với phẫu thuật mổ mở hay nội soi thông thường, đó là: hình ảnh quan sát rõ nét, các cánh tay robot có độ linh hoạt cao giúp thực hiện phẫu tích tỉ mỉ giúp phẫu thuật viên thao tác chính xác.

Các chuyên gia Việt Nam phối hợp cùng chuyên gia Nhật Bản thực hiện ca phẫu thuật ung thư phổi bằng hệ thống robot (Ảnh: Bệnh viện K).
TS.BS Nguyễn Khắc Kiểm, Trưởng khoa Ngoại lồng ngực cho biết: "Với việc ứng dụng phẫu thuật robot thay vì phẫu thuật nội soi thông thường, sẽ mang lại nhiều lợi ích cho bệnh nhân, điển hình như kiểm soát tình trạng mất máu, giảm thiểu tỉ lệ tai biến, biến chứng, thời gian nằm viện ngắn, bệnh nhân hồi phục nhanh".
Ca phẫu thuật cho bệnh nhân ung thư phổi đầu tiên bằng robot tại Bệnh viện K được thực hiện hôm 1/6. Chuyên gia Bệnh viện K cùng chuyên gia Nhật Bản tiến hành phẫu thuật cắt thùy trên phổi phải và vét hạch hệ thống bằng robot cho bệnh nhân. Ca mổ được theo dõi vào trao đổi trực tiếp với nhiều chuyên gia đến từ các bệnh viện khu vực.
Sau 3 giờ phẫu thuật, bệnh nhân được cắt khối u ác tính thành công.
PGS Bình cho biết, hiện nay, bệnh nhân ung thư phổi ngày càng được phát hiện sớm hơn, tuy nhiên chỉ khoảng 30% bệnh nhân ung thư phổi đến viện ở giai đoạn sớm có khả năng phẫu thuật.
"Khi xuất hiện các dấu hiệu như: Ho khan dai dẳng, sụt cân, đau ngực, ho ra máu... mọi người cần đi khám sớm. Đặc biệt là với những đối tượng nguy cơ cao như người có thói quen hút thuốc lâu năm, tiếp xúc với khói thuốc lá trong một thời gian dài, người sử dụng nhiều rượu bia, chất kích thích ... thì ngay khi có những biểu hiện ban đầu cần phải đi khám ngay để phát hiện và điều trị kịp thời", PGS Bình khuyến cáo.











