Cắt da, nặn máu trị thoái hóa đốt sống, bệnh nhân nhiễm khuẩn nguy kịch
(Dân trí) - Nhập viện trong tình trạng sốt cao, cứng lưng, cứng cổ, kết quả chẩn đoán hình ảnh ghi nhận vùng cổ bệnh nhân có khối áp xe lớn. Nguyên nhân khiến bệnh nhân rơi vào nguy kịch được xác định xuất phát từ việc cắt lể trị thoái hóa cột sống dẫn tới nhiễm trùng.
Bệnh nhân Nguyễn Công H. (SN: 1970, ngụ tại TPHCM) vừa được người nhà chuyển đến một bệnh viện tư nhân trên địa bàn điều trị sau nhiều ngày có biểu hiện sốt cao diễn tiến nặng dần dẫn tới cứng cổ, cứng lưng, đau nhức dữ dội.

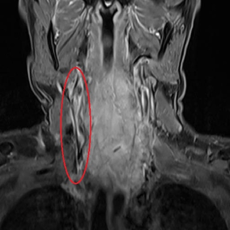
Khối áp xe trên cổ bệnh nhân ghi nhận qua hình ảnh MR
Qua thăm khám và kiểm tra lâm sàng, các bác sĩ phát hiện vùng sau cổ người bệnh có khối áp xe lớn. Thực hiện các xét nghiệm đều cho thấy bệnh nhân bị nhiễm trùng máu nặng. Khai thác bệnh sử của bác sĩ từ phía người nhà bệnh nhân được biết, anh H. bị thoái hóa đốt sống cổ 2 năm nay, điều trị nhiều nơi nhưng không khỏi.
Khoảng 1 tuần trước khi nhập viện, vùng cổ bệnh nhân đột ngột đau nhức nhiều hơn, gia đình đưa anh đi cắt lể để nặn máu độc ra ngoài. Nhưng sau cắt lể, tình trạng của anh ngày càng nặng hơn, cổ ngày càng sưng to, đau nhức không thể cử động, gia đình vội đưa vào bệnh viện cấp cứu. Ngay lập tức các bác sĩ tiến hành cấy máu tìm vi trùng, hồi sức điều trị tích cực bằng kháng sinh. Sau 1 tuần nằm viện, vùng áp xe sau cổ người bệnh đã hết sưng, sức khỏe dần bình phục.
Bác sĩ Lê Thanh Nhàn, khoa Nội Tổng hợp chia sẻ: người bệnh nhập viện trong tình trạng nguy kịch, toàn bộ vùng cổ sưng nề không cử động được, phần mô sau cổ bị áp xe. Sau khi cấy máu, các bác sĩ tìm thấy vi khuẩn Staphylococcus aureus (còn gọi là tụ cầu vàng) đề kháng các kháng sinh thông thường. Đây là loại vi khuẩn có thể xâm nhập vào cơ thể qua các vết thương hay cắt lể. Loại vi khuẩn này, thường gây nhiễm trùng da, niêm mạc và nặng hơn là nhiễm trùng huyết.
Phân tích chuyên môn của bác sĩ chỉ ra, cắt lể, giác hơi hay giác lể để điều trị mỗi khi đau nhức toàn thân hoặc một vài vị trí trên cơ thể là thói quen dân gian rất dễ dẫn đến nhiễm trùng máu. Phần nhiều ca nhiễm trùng là do công cụ cắt lể không vô khuẩn hoặc tiệt trùng không bảo đảm. Lúc đó, vi khuẩn sẽ trực tiếp đi vào đường máu, gây tình trạng nhiễm trùng huyết từ nhẹ đến nặng, rồi tạo thành sốc nhiễm trùng. Nếu không được điều trị kịp thời bệnh nhân sẽ rơi vào tình trạng sốc nhiễm trùng, nhiễm độc, nguy cơ tử vong rất cao.

Nam bệnh nhân rơi vào nguy kịch vì nhiễm trùng huyết từ vết cắt lể
Trên thực tế nhiều trường hợp cắt lể đã gặp biến chứng nguy hiểm tính mạng nhưng người dân vẫn còn áp dụng phương pháp này để điều trị nhiều loại bệnh. Phương pháp cắt lể được thực hiện bằng cách véo lên chỗ da cần lể rồi dùng dao hoặc kim, mảnh thủy tinh để rạch một vết nhỏ và nặn máu mủ ra. Sau cắt lể người bệnh có thể còn được thầy lang đắp thuốc dân gian để chữa bệnh.
Không chỉ gây nguy cơ nhiễm trùng cao, phương pháp cắt lể theo hình thức chữa bệnh dân gian này còn tiềm ẩn nhiều nguy cơ lây nhiễm các loại bệnh nguy hiểm như viêm gan, HIV hoặc bệnh lây qua đường máu khác. Ngoài ra, người bệnh còn gặp phải tai biến như nhiễm khuẩn do tụ cầu, uốn ván…
Bác sĩ Nhàn khuyến cáo, khi bệnh kéo dài và có biểu hiện nhiễm khuẩn như sưng, nóng đỏ, đau trên cơ thể thì tốt nhất nên đến các cơ sở y tế uy tín để được các bác sĩ thăm khám và điều trị chứ không nên đi cắt lể. Khi người bệnh đã bị vi khuẩn đã xâm nhập vào máu thì sẽ rất khó khăn cho việc chữa trị.
Vân Sơn










