Cần Thơ: Điều trị vỡ lách không cần phẫu thuật
(Dân trí) - Sáng ngày 21/5, bác sĩ Nguyễn văn Bi -Trưởng khoa ngoại tổng hợp Bệnh Viện Đa Khoa Trung ương Cần Thơ cho biết, các sĩ của bệnh viện vừa điều trị thành công bệnh nhân vỡ lách độ 3 đang chảy máu trong ổ bụng bằng phương pháp nút mạch mà không cần phẫu thuật.
Lúc 15h30 ngày 15/5/2019 nam bệnh nhân L.M.K. (nam 35 tuổi,địa chỉ Tân Tiến- Đầm Dơi Cần Mau) bị tai nạn giao thông được người nhà đưa vào viện với chẩn đoán vỡ lách –gãy xương đòn-gãy đa xương sườn, sinh tồn ổn định. Bệnh nhân được chỉ định điều trị vỡ lách bằng phương pháp bảo tồn và theo dõi sát các dấu hiệu lâm sàng và cận lâm sàng mỗi ngày.
Đến 0h15 ngày 20/5/2019 bệnh nhân tỉnh, niêm nhợt, vã mồ hôi, tay chân lạnh, mạch nhanh, huyết áp thấp. Bệnh nhân được hồi sức tích cực và hội chẩn khẩn với bác sĩ chuyên khoa can thiệp nội mạch.
Sau khi thăm khám, xét nghiệm, chụp CT Scanner, bác sĩ chẩn đoán, bệnh nhân K. bị vỡ lách độ 3. Ngay lập tức, các bác sĩ hội chẩn và quyết định điều trị bằng phương pháp "nút nhánh động mạch lách đang chảy máu". Đây là phương pháp điều trị nội mạch dưới máy chụp mạch kỹ thuật số xóa nền (DSA). Thủ thuật nút động mạch lách đã được thực hiện thành công trong vòng 30 phút.

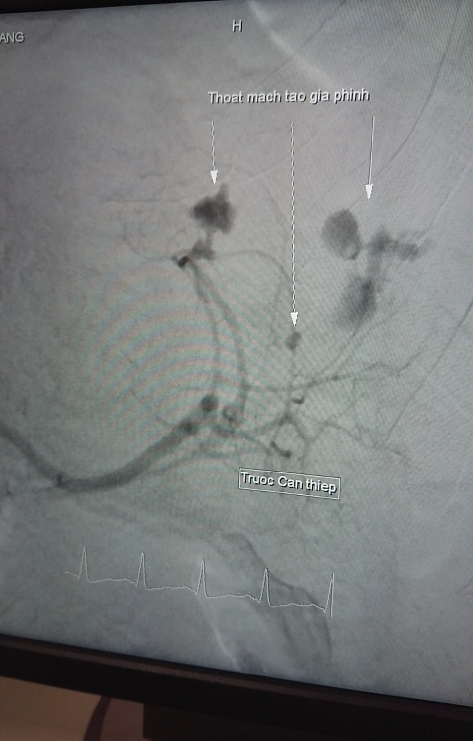
Hình ảnh trước can thiệp nút mạch

Kết quả sau can thiệp, mạch đã trắc hoàn toàn.
Đến sáng ngày 21/5/2019 bệnh nhân tỉnh, tiếp xúc tốt, sinh tồn ổn định, bớt đau bụng. Hình ảnh qua CT Scanner thấy thoát mạch do giả phình động mạch lách đã được tắc hoàn toàn.
Hiện, bệnh nhân được tiếp tục theo dõi và điều trị tại khoa Ngoại tổng hợp, bệnh viện Đa khoa Trung ương Cần Thơ.
Bác sĩ Nguyễn Văn Bi - Trưởng khoa Ngoại tổng hợp Bệnh viện Đa khoa Trung ương Cần Thơ cho biết: Trước đây, những bệnh nhân chấn thương lách độ 3, chảy máu ổ bụng thường phải phẫu thuật khâu cầm máu hoặc cắt lách để cầm máu. Bệnh nhân phải chịu cuộc gây mê, chịu cuộc mổ lớn, thời gian phục hồi kéo dài.
Hiện nay, với phương pháp điều trị nội mạch này, bệnh nhân chỉ gây tê tại chỗ, thời gian thủ thuật ngắn, rất ít đau, thời gian phục hồi nhanh và không để lại vết mổ trên thành bụng.Ưu điểm lớn của phương pháp này là giữ lại được lá lách cho người bệnh.
Phạm Tâm










