Các phương pháp chẩn đoán ung thư bàng quang
(Dân trí) - Khi bệnh nhân có những triệu chứng bệnh ung thư bàng quang, các bác sĩ sẽ tiến hành kiểm tra các dấu hiệu chung về sức khỏe và làm một số xét nghiệm để chẩn đoán.
Một số phương pháp chẩn đoán ung thư bàng quang như sau:
- Khám lâm sàng: Phương pháp này có thể xác định được các khối bất thường ở bụng hoặc khung chậu. Ngoài ra các bác sĩ cũng có thể thăm khám âm đạo và trực tràng.
- Siêu âm: Thực hiện qua siêu âm bụng hoặc siêu âm nội soi để phát hiện u. Theo Bệnh viện K Trung ương (Hà Nội), siêu âm có thể xác định khối của mô mềm, nhưng chưa thể chẩn đoán và đánh giá giai đoạn ung thư bàng quang, không đánh giá được chiều sâu xâm lấn, sự lan rộng ngoài bàng quang, hoặc tình trạng hạch. Siêu âm có thể sử dụng để đánh giá bệnh ở đường niệu trên và nhu mô thận, ứ nước thận và phân biệt sỏi không cản quang với khối mô mềm dựa trên sự hồi âm khác nhau.

- Chụp CT hoặc MRI: Chụp CT ổ bụng và khung chậu cho phép đánh giá mức độ lan rộng của khối u, tình trạng di căn hạch trong khung chậu hoặc hạch sau phúc mạc, di căn tạng, phổi, xương và tình trạng tắc nghẽn đường niệu trên.
- Chụp UIV: chủ yếu dùng để đánh giá chức năng thận khi nghi ngờ có tổn thương thận do u xâm lấn, chèn ép niệu quản hoặc do viêm đường tiết niệu mạn tính.
- Chụp xạ hình xương: Chụp xạ hình xương được chỉ định khi có ung thư xâm lấn hoặc khối u tiến triển tại chỗ và bệnh nhân có biểu hiện đau xương hoặc có hàm lượng alkaline phosphatase tăng.
- Chụp PET-CT: Chụp PET-CT ít có giá trị đánh giá tổn thương tại vùng nhưng có vai trò lớn trong việc đánh giá di căn.
- Xét nghiệm nước tiểu: Tìm hồng cầu, tế bào ung thư trong nước hay những dấu hiệu khác của bệnh ung thư bàng quang.

- Chụp tĩnh mạch có cản quang: Các bác sĩ sẽ chụp X-quang để phát hiện hình ảnh bất thường ở trong bàng quang bằng cách tiêm chất có cản quang vào trong tĩnh mạch. Các chất này sẽ được thận thải ra và tập trung ở bàng quang.
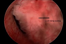
- Soi bàng quang: Trong quá trình làm thủ thuật này các bệnh nhân sẽ được gây mê. Bác sĩ có thể lấy một mẫu nhỏ tổ chức qua nội soi bàng quang và thực hiện giải phẫu bệnh, sinh thiết để khẳng định có bị ung thư hay không. Trong một số ít các trường hợp bác sĩ có thể lấy bỏ toàn bộ vùng bị ung thư trong quá trình sinh thiết, đối với những bệnh này sinh thiết vừa để chẩn đoán bệnh ung thư bàng quang vừa có tác dụng điều trị.











