Bệnh nhân kì lạ có "cậu nhỏ" đang biến thành… xương
(Dân trí) - Cơ thể con người rất phức tạp, vì vậy không có gì lạ khi đôi khi mọi thứ có thể trở nên sai lầm một cách ngoạn mục và chúng ta chỉ phát hiện ra một cách tình cờ.
Đó là những gì đã xảy ra với một người đàn ông 63 tuổi, vừa đến khoa cấp cứu ở New York (Mỹ) vì đau đầu gối trái sau khi ngã sau lưng, và kết thúc với một chẩn đoán đáng báo động và hiếm gặp: “hóa thạch dương vật”.

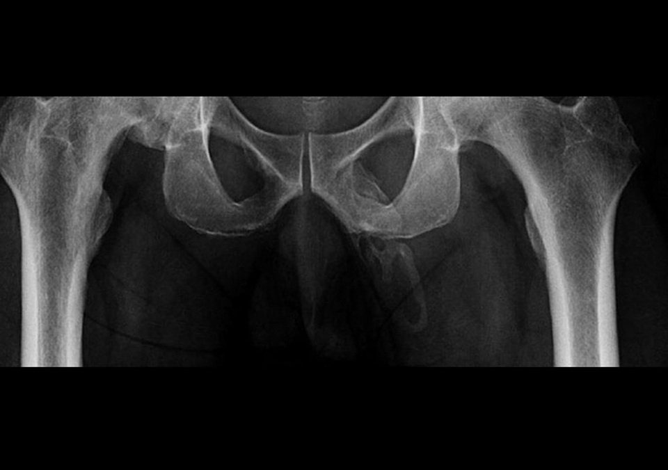
Các bác sĩ đã tìm thấy trường hợp hiếm gặp gây sốc khi họ chụp X-quang xương chậu của người đàn ông để kiểm tra các dấu hiệu gãy xương do ngã. Tuy nhiên, thay vào đó, họ phát hiện ra sự vôi hóa giống như xương ở một nơi thực sự bất ngờ.
Muối canxi đã tích tụ trong mô mềm của người đàn ông và cứng lại thành "một mảng bám rộng" dọc theo toàn bộ trục dương vật.
Bên cạnh một số cơn đau, bệnh nhân không có triệu chứng nào khác của tình trạng này như chảy mủ hoặc sưng. Hóa thạch dương vật có thể gây giảm tính linh hoạt và cuối cùng có thể dẫn đến rối loạn chức năng cương dương.
Nhưng trước khi các bác sĩ có thể thực hiện bất kỳ kiểm tra nào khác, bao gồm cả việc xác định nguyên nhân, người đàn ông đã quyết định rời đi, bỏ qua những lời khuyên y tế nhận được.
Hóa thạch dương vật được mô tả lần đầu tiên ở người vào năm 1827, nhưng vẫn là một tình trạng hiếm gặp, với ít hơn 40 báo cáo trường hợp được ghi nhận. Nguyên nhân phổ biến nhất của nó là bệnh Peyronie, nơi mô sẹo xơ hình thành trong dương vật, nó cũng có thể xảy ra do chấn thương, bệnh thận giai đoạn cuối hoặc các tình trạng khác dẫn đến thừa canxi trong cơ thể.
Georges El Hasbani từ Đại học Hoa Kỳ Beirut và các đồng nghiệp giải thích trong báo cáo: "Việc điều trị hóa thạch dương vật phụ thuộc vào mức độ hóa xương và các triệu chứng của bệnh nhân. Những người bị đau cấp tính khó chịu hoặc đau nhẹ mãn tính có thể được kiểm soát bằng thuốc giảm đau qua đường uống, thuốc bôi, tiêm bắp, kéo dài cơ học hoặc thiết bị chân không, hoặc liệu pháp sốc xung ngoại bào”.
Khôi Nguyên
Theo Science Alert










