Vi rút Corona mới đang gây tử vong cho lợn ở Trung QuốcMột loại vi rút corona mới có nguồn gốc từ loài dơi đã giết chết hàng chục nghìn con lợn con ở Trung Quốc.
Anh phát hiện chủng vi rút corona mới lây lan mạnh hơn 70%Tổ chức Y tế Thế giới (WHO) cho biết họ đang giữ liên hệ với Anh liên quan tới việc nước này phát hiện chủng vi rút SARS-CoV-2 mới có khả năng lây lan nhanh hơn chủng ban đầu 70%.
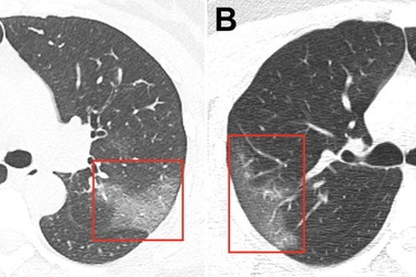
Công bố ảnh chụp lá phổi bị ảnh hưởng bởi vi rút corona mớiCác chuyên gia y tế Trung Quốc đã công bố bức ảnh chụp phổi của một bệnh nhân bị nhiễm coronavirus 2019 (nCoV).
Trung Quốc xác nhận 80 người thiệt mạng, gần 2.800 ca mắc bệnh viêm phổi lạSố người chết vì vi rút corona mới nCoV tại Trung Quốc đã tăng lên 80 trong khi số lượng ca nhiễm dịch viêm phổi lạ đã tăng lên gần 2.800 trường hợp.
Rộ nghi vấn vi rút viêm phổi lạ thoát ra từ phòng thí nghiệm Trung QuốcCác nhà khoa học đưa ra giả thuyết rằng rất có thể vi rút corona mới gây nên bệnh viêm phổi lạ đã thoát ra từ một phòng thí nghiệm sinh học ở Vũ Hán, tỉnh Hồ Bắc, Trung Quốc.
Những dịch vụ "ăn theo" thời CoronaTrong khi nhiều ngành nghề điêu đứng vì dịch viêm hô hấp do vi rút Corona mới (Covid-19), một số dịch vụ "ăn theo" lại đang đáp ứng được cùng lúc yêu cầu hạn chế dịch bệnh và tăng nguồn thu nhập.
Chủng SARS-CoV-2 nguy hiểm ở Anh có số biến thể đột biến gen cao bất thườngChủng vi rút corona mới được phát hiện ở Anh được cho có khả năng lây nhiễm hơn 70% so với các chủng cũ và nó đã có tới 17 biến thể đột biến gen, con số mà giới khoa học đánh giá là cao bất thường.
Công ty TNHH sản xuất và thương mại Tuấn Vinh phát khẩu trang miễn phí cho người dânTrước tình hình dịch bệnh do vi rút corona mới, một số người lợi dụng chuyện khan hiếm khẩu trang y tế để đầu cơ trục lợi, thì Công ty Tuấn Vinh đồng hành cùng nhãn hàng dao cạo Dorco đã phát khẩu trang miễn phí tới người dân.
Virus corona mới có thể bắt nguồn từ dơi, nhưng nó lây sang người bằng cách nào?Virus corona mới đã lây lan rất nhanh trong những ngày qua không chỉ ở Trung Quốc mà sang nhiều nước khác. Các nhà khoa học đang tích cực tìm hiểu xem nó đến từ đâu.
Cập nhật tình hình lây lan virus corona mới và những điều bạn cần biếtVirus corona mới đang hoành hành ở Trung Quốc và đã lây lan đến một số nước trên thế giới. Dưới đây là những điều bạn cần biết về virus này.
Chủng mới Covid-19 lây lan vượt kiểm soát, nhiều nước cấm chuyến bay từ AnhNhiều nước châu Âu đã cấm các chuyến bay từ Anh sau khi ở Anh xuất hiện chủng mới của vi rút corona lây lan mạnh "vượt tầm kiểm soát".
Trung Quốc dọa cấm nhập cảnh người có giấy tờ ghi "vi rút corona Vũ Hán"Người Đài Loan nhập cảnh vào Trung Quốc đại lục có thể đối mặt với vấn đề nếu giấy xét nghiệm Covid-19 của họ có dòng chữ "vi rút corona Vũ Hán".