Lo âu là do thiếu vi khuẩn đường ruột?Những người mắc chứng rối loạn lo âu thường dùng thuốc chống trầm cảm hay các loại thuốc có tác dụng với não bộ. Nhưng một nghiên cứu mới tại Ireland cho thấy vi khuẩn đường ruột đóng vai trò quan trọng trong cảm giác lo lắng.
Giải mã bí mật vi khuẩn đường ruột của những người thọ 100 tuổiTheo một nghiên cứu mới từ Nhật Bản, những người sống đến 100 tuổi trở lên có thể có loại vi khuẩn đường ruột đặc biệt giúp ngăn ngừa nhiễm trùng.
Bất ngờ phát hiện loại vi khuẩn đường ruột gây đột biến ung thưCác nhà khoa học vừa mang đến một hy vọng mới trong cuộc chiến chống ung thư, sau khi khám phá ra rằng, một loại vi khuẩn đường ruột có liên quan đến đột biến gen có thể gây ung thư đường ruột.
Vi khuẩn đường ruột và sức khỏe con ngườiBộ ruột con người chứa đến hai kí lô vi khuẩn. Hàng chục nghìn tỷ vi sinh vật ruột này thuộc về cả ngàn loài vi khuẩn khác nhau với hơn ba triệu bộ gen riêng biệt. Đặc biệt, đến hai phần ba hệ vi khuẩn ruột có đặc thù cho từng cá nhân vật chủ chứa chúng.
Phụ nữ trẻ có sự đa dạng vi khuẩn đường ruột cao hơn nam giớiTrong một nghiên cứu mới trên tạp chí mSystems, một nhóm các nhà nghiên cứu quốc tế đã phân tích mối quan hệ giữa tuổi tác và giới tính với sự đa dạng của vi khuẩn đường ruột trong các đoàn hệ trưởng thành từ bốn vùng địa lý khác nhau.
Vi khuẩn đường ruột có thể làm cho việc giảm cân khó khăn hơnĐối với một số người khi thực hiện chế độ ăn uống, cân nặng có thể giảm, trong khi những người khác lại gặp phải khó khăn trong việc giảm cân. Bây giờ, một nghiên cứu mới, cho thấy vi khuẩn đường ruột của con người có thể đóng vai trò trong việc xác định mức độ dễ hoặc khó của việc giảm cân.
Vi khuẩn đường ruột có nguy cơ gây ung thư vúTheo một nghiên cứu mới đây của Trung tâm Ung thư Johns Hopkins - Mỹ, một loại vi khuẩn được tìm thấy trong ruột kết, có liên quan đến sự phát triển của bệnh viêm đại tràng và ung thư ruột kết.
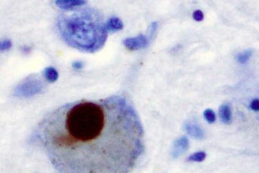
Vi khuẩn đường ruột có thể bảo vệ chống lại ParkinsonMột nghiên cứu mới cho thấy, một loại vi khuẩn phổ biến giúp tăng cường tiêu hóa có thể làm chậm quá trình và thậm chí đảo ngược tích tụ protein và liên quan đến bệnh Parkinson.
Vi khuẩn đường ruột “tố cáo” nguy cơ béo phìCác nhà khoa học Anh đã tìm thấy mắt xích mới giữa sự đa dạng của vi khuẩn trong phân với mức độ của các loại chất béo có hại trong cơ thể. Điều này có thể giải thích lý do tại sao bệnh béo phì có tính gia đình.
Chứng tự kỷ có thể do vi khuẩn đường ruộtMột nghiên cứu mới của Đại học Y Baylor Houston, Texas - Hoa Kỳ, cho thấy một loại vi khuẩn được tìm thấy trong sữa mẹ và sữa chua probiotic có thể đảo ngược một số triệu chứng của bệnh tự kỷ.
Vi khuẩn đường ruột có thể định hình tính cách của bạnMicrobiome là một trong những câu chuyện khoa học mở ra trong những năm gần đây. Nó có thể định hình mọi thứ từ nguy cơ mắc bệnh Parkinson đến loại thực phẩm mà bạn khao khát nhất, nhưng một nghiên cứu mới tiến xa hơn, cho thấy nó có thể được liên kết với các đặc điểm tính cách như bạn.
Dễ béo phì vì thiếu vi khuẩn đường ruộtMột nghiên cứu mới đây cho biết những người thiếu vi khuẩn có lợi trong đường ruột dễ mắc béo phì, tiểu đường, tim mạch và những vấn đề về cholesterol.