Kinh hãi bé trai bị con vắt chui vào mũi hút căng máu suốt 10 ngàyThấy con trai chảy máu 10 ngày mà uống thuốc không hết, gia đình đưa đi kiểm tra thì tá hỏa khi chứng kiến con vắt đã phình to chui ra từ hốc mũi bé.
Bé gái 1 tuổi phải mổ cấp cứu trong đêm ở TPHCM vì "sinh vật lạ" trong mũiThời điểm bé gái vào viện cấp cứu, các bác sĩ phát hiện bệnh nhi có dị vật động đậy ở cửa mũi trái, sau đó chui vào trong hốc mũi, nếu để lâu có thể gây biến chứng như nhiễm trùng, mất máu...
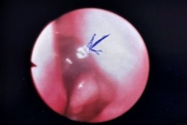
Gắp con vắt trong mắt bé trai 8 tuổiMới đây, một phòng khám tại huyện Quỳ Hợp, tỉnh Nghệ An gắp thành công con vắt nằm trong mắt bé trai 8 tuổi.
Con vắt dài 5cm nằm trong mũi bé trai 3 tuổi, gây chảy máu liên tụcCho con đi khám vì ngạt, chảy máu mũi liên tục dùng thuốc 3 ngày không đỡ, bố mẹ bàng hoàng phát hiện có vật lạ di chuyển trong mũi con. Các bác sĩ đã tìm ra thủ phạm là con vắt dài 5cm.
Tây Ninh thông tin vụ cá sấu sổng chuồng cắn thầy giáoCá sấu được người dân ở Tây Ninh nuôi nhốt trong chuồng trại không đảm bảo, không khai báo kiểm lâm. Sau khi sổng chuồng, con vật đã cắn khiến một thầy giáo bị đứt gân chân.
Bé gái tắm suối, bị con vắt 5 cm chui vào mũi “làm tổ“Một con vắt lớn, dài khoảng 5cm trú trong mũi của một bé gái người đồng bào thiểu số gần 10 ngày đã được cán bộ Bệnh viện Đa khoa tỉnh Quảng Trị xử lý thành công.
Kinh hoàng hai con vắt sống trong mũi bệnh nhânMới đây hai người ở Nghệ An rơi vào cảnh thường xuyên bị nghẹt mũi, chảy máu mũi. Khi đi thăm khám thì mới phát hiện hai con vắt đang sống trong mũi của mình.
Ngạt mũi, chảy máu mũi suốt 2 tuần vì dị vật sống làm tổ trong mũiBị ngạt mũi, chảy máu mũi mãi không khỏi dù đã uống đủ loại thuốc, người đàn ông 61 tuổi (Hà Giang) quyết định đi viện khám. Các bác sĩ phát hiện bệnh nhân có dị vật sống trong khe cuốn mũi.
Vắt dài 3cm chui lên mũi bệnh nhânSau buổi đi làm nương, anh Triệu Công V (sinh năm 1994, Trung Sơn, Yên Sơn, Tuyên Quang) lấy tay vốc nước, rửa mặt và uống nước trong khe suối gần nhà. Sau khi về nhà, anh bị ngạt, tắc và chảy máu một bên mũi.
Con đỉa lớn nằm trong mũi bé trai 14 tuổiThấy khó thở, rỉ máu mũi, bé trai tại Quảng Trị được đưa đến cơ sở y tế thăm khám mới biết trong mũi có một con đỉa dài 4cm. Các bác sĩ đã nội soi, gắp con đỉa ra ngoài.
Con vắt “khủng” sống nhiều ngày trong cổ họng bé trai 6 tuổiCác bác sĩ BV Đa khoa Lào Cai đã gắp ra 1 con vắt khoảng 5-6 cm sống nhiều ngày trong cổ họng bệnh nhi 6 tuổi mà nguyên nhân có thể do trước đó bé trai này uống nước suối rừng.
Dị vật sống bám chặt cổ họng người đàn ông suốt 2 thángNgười đàn ông 39 tuổi (Cao Bằng) đi khám với biểu hiện đau đầu, mệt mỏi, nôn, không ăn được suốt 2 tháng nay. Bác sĩ bất ngờ phát hiện con đỉa to bằng ngón tay còn sống trong cổ họng bệnh nhân.