Biến dạng mặt, cắt bỏ nhãn cầu vì pháo nổ: Cảnh báo các loại pháo "lạ"Bác sĩ cảnh báo, tuy pháo hoa tầm thấp được phép sử dụng theo quy định, nhưng thực tế vẫn có việc đốt pháo dây, pháo bi, pháo cối hoặc các loại pháo không rõ nguồn gốc, gây ra những tai nạn nặng nề.
Kinh hãi trào lưu... nhuộm nhãn cầuGiới trẻ Úc rộ mốt "cực đoan" khi quyết định đổi màu trắng vốn có của nhãn cầu thành các màu khác như xanh lá, đen, tím để khoe sự cá tính.
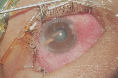
Đập ruồi đậu trong mắt, người đàn ông phải múc bỏ nhãn cầuMột người đàn ông tại Trung Quốc đã phải cắt bỏ toàn bộ nhãn cầu trái sau khi đập một con côn trùng bay vào mắt.
Cô gái mù mất 3 tuần vì xăm nhãn cầuXăm nhãn cầu là một cách làm đẹp kinh dị trong đó mực được bơm vào phần lòng trắng của mắt. Nếu thực hiện đúng cách, mực sẽ không thực sự đi vào mắt, chỉ ở dưới lớp kết mạc và lan ra. Thật không may, người làm cho Amber Luke, 24 tuổi, ở Brisbane (Úc) có vẻ đã mắc một sai lầm nghiêm trọng…
Phát hiện nhãn cầu của một người phụ nữ giống… bánh pizzaCác bác sĩ tại Anh vừa báo cáo phát hiện ra “mô hình” kỳ lạ trên nhãn cầu của người phụ nữ 41 tuổi trong một cuộc kiểm tra mắt gần đây.
Choáng ngợp trước kiến trúc độc đáo của thư viện “nhãn cầu”Kiến trúc của thư viện “nhãn cầu” đang gây hứng thú lớn trong giới kiến trúc quốc tế, giúp định nghĩa lại về phong cách thiết kế kiến trúc thư viện.
Say rượu vấp ngã, nam thanh niên rơi cả nhãn cầu ra ngoàiMột chàng trai đến từ miền Đông Trung Quốc đã phải chịu đựng một tai nạn khá kỳ quái do say xỉn khi một bên nhãn cầu bật hẳn ra khỏi hốc mắt.
Google sáng chế kính áp tròng thông minh tiêm ngay vào nhãn cầuGoogle vừa nộp bằng sáng chế một thiết bị thông minh sẽ được tiêm trực tiếp vào nhãn cầu của bạn.
Chấn thương nặng vì dụi mắt sau khi bị gai mây đâm xuyên nhãn cầuTrong lúc đi rừng chặt dây mây, một người đàn ông đã bị gai mây đâm vào mắt dẫn đến nhãn cầu bị xuyên thủng và vỡ thể thủy tinh.
Sau khi xăm nhãn cầu, cô gái đau đớn khóc ra nước mắt tímCô người mẫu Catt Gallinger đã phải thừa nhận quyết định xăm nhãn cầu là sai lầm khủng khiếp của mình, cho đến nay cô vẫn đang phải chịu nhiều đau đớn và rắc rối.