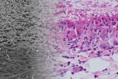
Thử nghiệm thành công mạch máu nhân tạoCác nhà khoa học đã phát triển một loại vật liệu tự tiêu sinh học mới để tạo ra những mạch máu nhân tạo tương thích với mô cơ thể hơn nhiều so với loại đang được sử dụng.
Nga phát triển công nghệ mới tạo ra mạch máu nhân tạoCác nhà khoa học từ Đại học Bách khoa Tomsk (TPU) mới đây tuyên bố đã phát triển một công nghệ mới để tạo ra các mạch máu nhân tạo giúp điều trị huyết khối tĩnh mạch sâu cấp tính (DVT).
Thành công ca thay mạch máu nhân tạo đầu tiên tại Đồng NaiBệnh nhân bị đoạn động mạch chủ bụng bị phình to gấp 4 lần bình thường đã được các bác sĩ bệnh viện Đa khoa Thống Nhất phẫu thuật cắt bỏ để thay bằng mạch máu nhân tạo. Đây là ca thay mạch máu nhân tạo đầu tiên được thực hiện trong tỉnh.
Thay mạch máu nhân tạo cho bệnh nhân phình động mạch chủ bụngDưới sự hỗ trợ của Khoa Phẫu thuật tim Bệnh viện Chợ Rẫy (TP. Hồ Chí Minh), Khoa Ngoại Tổng quát Bệnh viện Đa khoa Khánh Hòa vừa thực hiện thành công kỹ thuật phẫu thuật phình động mạch chủ bụng thay bằng mạch máu nhân tạo.
Ghép mạch máu nhân tạo cho bệnh nhân phình động mạch chủ bụngBVĐKTƯ Cần Thơ vừa phẫu thuật thành công thay phình động mạch chủ bụng bằng ống ghép mạch máu nhân tạo cho bệnh nhân Nguyễn văn Màng, 81 tuổi, ở Ninh Kiều, Cần Thơ.
Nghiên cứu đột phá: Mạch máu nhân tạo có thể tiếp tục phát triển sau khi cấy ghépTrong một nghiên cứu mới mang tính đột phá của các kỹ sư trường Đại học y sinh Minnesota, các mạch máu nhân tạo được tạo thành trong phòng thí nghiệm và cấy vào những con cừu non có khả năng phát triển tiếp tục trong đối tượng cấy ghép. Nếu được xác nhận ở người, mạch máu cấy ghép mới này sẽ làm giảm việc phải phẫu thuật lặp đi lặp lại ở trẻ em có dị tật tim bẩm sinh.
Bé trai 8 tuổi được hồi sinh nhờ mạch máu được hiến tặng từ người chết nãoTheo bác sĩ đây là ca bệnh khó, hiếm gặp. Nếu dùng các kỹ thuật và mạch máu nhân tạo thông thường thì khả năng thất bại gần như chắc chắn.
Nguy cơ hoại tử chân vì tắc động mạch chủ bụngBệnh viện Đa khoa Trung ương Quảng Nam cho biết vừa phẫu thuật bắc cầu động mạch chủ, động mạch đùi 2 bên bằng ống mạch máu nhân tạo chữ Y cho nữ bệnh nhân khỏi nguy cơ hoại tử chân.
Cận cảnh ca mổ "thần tốc” giải cứu bệnh nhân bít tắc đường thở nhiều nămTrải qua cuộc mổ kéo dài hơn 30 phút, khoang thở ở mũi bệnh nhân được mở rộng rõ rệt, từng bước giúp người phụ nữ thoát cảnh khổ đã chịu đựng nhiều năm.
Đặt stent đường mật qua da giảm đau và tắc mật cho bệnh nhân ung thư tụyTắc mật nặng trên nền ung thư tụy di căn, không thể phẫu thuật do tuổi cao và đa bệnh lý, ông Đ.V.M (80 tuổi) được bác sĩ BVĐK Hồng Ngọc đặt stent đường mật qua da, giảm đau nhanh, tái lưu thông mật, không gây mê, không cần mổ.
Ghép gan cho bé gái gần 1 tuổi, cân nặng chỉ 5,3kg tại Vinmec Times CityBé gái gần một tuổi, nặng 5,3kg, đã được hồi sinh ngoạn mục nhờ ca ghép gan từ người hiến sống phức tạp tại Bệnh viện ĐKQT Vinmec Times City. Đây là ca ghép gan cho bệnh nhân nhẹ cân nhất được thực hiện thành công tại bệnh viện.
Có gì ở hệ thống MRI hơn 20 tỷ đồng tích hợp AI vừa hoạt động ở TPHCM?Các bác sĩ cho biết, hệ thống MRI Signa ™ Prime 1.5T thế hệ mới được trang bị nhiều công nghệ hàng đầu hiện nay, giúp tối ưu hóa quy trình làm việc và tăng khả năng chẩn đoán chính xác cho người bệnh.