Vinbrain hợp tác VT Healthcare nhân rộng giải pháp DrAidVinBrain hợp tác VT Healthcare - nhà phân phối thiết bị vật tư y tế hàng đầu thế giới tại Việt Nam nhân rộng ứng dụng trí tuệ nhân tạo DrAid. Đây là phần mềm "Trợ lý bác sĩ" giúp nâng cao chất lượng khám, chữa bệnh.
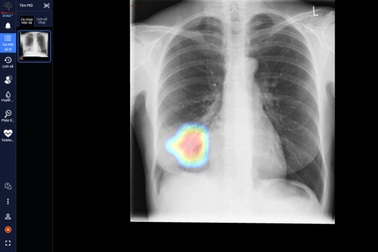
DrAid™ - "trợ lý AI" đầu tiên tại Đông Nam Á đạt chuẩn FDA Hoa KỳSản phẩm DrAid™ của VinBrain vừa chính thức được FDA Hoa Kỳ ra công văn chấp thuận. Đây cũng là sản phẩm AI cho chẩn đoán X-quang đầu tiên và duy nhất tại Đông Nam Á sở hữu chứng nhận quan trọng này.
DrAid - công cụ sàng lọc và tiên lượng Covid-19 ứng dụng AI đầu tiên tại Việt NamDrAid cho Covid-19 - sản phẩm ứng dụng trí tuệ nhân tạo (AI) của Công ty Cổ phần VinBrain (thuộc Tập đoàn Vingroup) - vừa được Hội đồng Khoa học Bộ Y tế nghiệm thu và kiến nghị nên sớm đưa vào sử dụng tại các bệnh viện.
DrAid hỗ trợ bác sĩ chống dịch Covid-19 đoạt giải Vàng ASEAN ICT AwardsGiải thưởng ASEAN về Công nghệ thông tin và truyền thông (ASEAN ICT Awards - AICTA) năm 2021 đã vinh danh sản phẩm AI "trợ lý bác sĩ" DrAid cho Covid-19 của công ty VinBrain (Tập đoàn Vingroup).
DrAid và hành trình bền bỉ mang AI từ nghiên cứu tới tay 1.000 bác sĩ trên khắp Việt NamDrAid - phần mềm chẩn đoán hình ảnh y tế do VinBrain (Tập đoàn Vingroup) nghiên cứu, phát triển dựa trên bộ dữ liệu lớn nhất Việt Nam gồm 1,3 triệu hình ảnh X-quang với sự tham gia của gần 1.000 bác sĩ tại hơn 100 bệnh viện.
Việt Nam: Điểm sáng mới trên thị trường AI thế giới"Hành trình mang trí tuệ nhân tạo vào Y tế của DrAid" là nội dung được VinBrain mang tới hội nghị ảo AI toàn cầu (GTC) do NVIDIA - tập đoàn công nghệ đa quốc gia của Mỹ tổ chức từ ngày 8/11 - 11/11.
DrAid™ và AIviCare™ - hệ sinh thái AI chăm sóc sức khỏe người dânLiệu hồ sơ sức khỏe của mỗi cá nhân có thể được lưu trữ trọn đời, dễ dàng truy cập mọi nơi, mọi lúc như cách mà chúng ta lưu ảnh trên iCloud hay Google Photos? Hệ sinh thái AI cho y tế do VinBrain nghiên cứu, phát triển là lời giải cho bài toán này.
VinBrain sử dụng "siêu máy tính" cho các giải pháp ứng dụng AIVinBrain (thuộc Tập đoàn Vingroup) là một trong những công ty tiên phong trong việc sử dụng thế hệ siêu máy tính NVIDIA DGX A100 trong việc phát triển một cách hiệu quả và đột phá các sản phẩm AI.
Vinbrain hợp tác Microsoft phát triển trí tuệ nhân tạo trong y tếCông ty VinBrain - thuộc Vingroup, hợp tác với Microsoft - tập đoàn công nghệ hàng đầu thế giới, đẩy mạnh phát triển tiềm năng và nhân rộng toàn cầu nền tảng ứng dụng trí tuệ nhân tạo vào chăm sóc y tế - DrAid.
VinBrain giành giải thưởng quốc tế cho sản phẩm trí tuệ nhân tạo xuất sắc nhấtSản phẩm Trợ lý Bác sĩ cho Chẩn đoán hình ảnh - "DrAid for Radiology" của Công ty VinBrain (tập đoàn Vingroup) đã giành được Giải thưởng Công nghiệp ACM SIGAI 2021 cho sản phẩm ứng dụng trí tuệ nhân tạo (AI) xuất sắc nhất.
Vingroup trao tặng Bộ Y tế phần mềm DrAid ™ hỗ trợ đánh giá tiên lượng Covid-19Ngày 25/8/2020, Tập đoàn Vingroup trao tặng Bộ Y tế Phần mềm DrAid™ cùng các thiết bị đi kèm để hỗ trợ đánh giá tiên lượng trong điều trị Covid-19.
Gặt hái "quả ngọt" khi công nghệ "bắt tay" cùng y tế11.000 ảnh X-quang bệnh nhân Covid-19 được thu thập từ 26 khu cách ly tại Bắc Giang và TPHCM chỉ trong 2 tháng, với số lượng nhân sự chỉ đếm trên đầu ngón tay, các thành viên VinBrain đã "gặt hái quả ngọt" trong những nỗ lực hướng đến cộng đồng.