Lãnh đạo môn Bi sắt Việt Nam lên tiếng việc VĐV bị cấm tham dự SEA Games 33Đại diện bộ môn Bi sắt Việt Nam lên tiếng về thông tin Liên đoàn Bi sắt Thế giới ra lệnh cấm Thái Lan tổ chức môn Bi sắt ở SEA Games 33 cũng như sẽ trừng phạt các nước cử vận động viên (VĐV) tham dự.
Liên đoàn Bi sắt thế giới cấm các VĐV tham dự SEA Games 33 tại Thái LanUỷ ban Olympic Thái Lan xác nhận Liên đoàn Bi sắt thế giới đã ra lệnh cấm Thái Lan tổ chức cũng như sẽ trừng phạt các nước cử VĐV tham dự môn bi sắt tại SEA Games 33 diễn ra vào tháng 12 này.
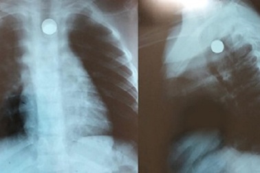
Cấp cứu nam sinh 15 tuổi bị viên bi sắt bắn và găm vào mắt nhiều ngàySau nhiều ngày bị viên bi sắt bắn và găm vào mắt, nam sinh 15 tuổi xuất hiện khối u lớn ở mắt, phải nhập viện cấp cứu.
00:37Thán phục màn dùng ná bắn bi sắt để chặt câyChàng trai trong đoạn clip đã sử dụng ná bắn bi sắt để bắn chuẩn xác vào từng vị trí trên thân cây để cắt đứt cành cây. Để thực hiện được điều này, chàng trai phải nhắm bắn một cách cực kỳ chuẩn xác.
Thanh niên 17 tuổi bắn bi sắt vào CSGT "cho bõ tức"Sau khi bị CSGT tỉnh Trà Vinh xử phạt vi phạm hành chính, nam thanh niên "giận cá chém thớt" dùng ná bắn bi sắt vào lực lượng CSGT tỉnh Vĩnh Long "cho bõ tức".
Đội tuyển bi sắt Việt Nam lần đầu vô địch thế giớiỞ giải bi sắt vô địch nữ thế giới diễn ra tại Thái Lan, đội tuyển Việt Nam xuất sắc đánh bại đội chủ nhà để lần đầu giành huy chương vàng.
Bé trai gặp nạn khi ngậm viên bi sắt trong miệngĐang ngậm viên bi sắt trong miệng thì bị cha mẹ phát hiện bắt nhả ra nhưng cậu bé lại nuốt vào. Viên bi đã kẹt ở vùng thực quản khiến bệnh nhi không ăn uống được.
Nhà dân sống sát sân bay Tân Sơn Nhất liên tục bị trúng bi sắtNhiều người dân sống trên đường Lam Sơn, quận Tân Bình (TPHCM) đang sống trong cảnh bất an vì thường xuyên bị bi sắt bắn vào nhà hư hỏng tài sản.
Chưa tìm ra thủ phạm bắn bi sắt vào khu dân cư sát sân bay Tân Sơn NhấtNgười dân sống trên đường Lam Sơn, quận Tân Bình (TPHCM) cho biết, tình trạng bắn bi sắt xảy ra tại địa phương xảy ra đã 2 tháng nay nhưng chưa tìm được ra thủ phạm.
Dùng bi sắt, xốp chế thiên thạch giả, lừa bán giá 250 triệu USDNhóm của Nguyễn Văn Trọng làm thiên thạch giả rồi thỏa thuận bán cho người khác 250 triệu USD. Sau khi giao hàng và nhận cọc 400 triệu đồng, nhóm này bỏ trốn.
Công an bám sát khu dân cư truy tìm kẻ bắn đạn bi sắt vào nhà dân ở TPHCMSau một tuần xảy ra vụ 20 nhà dân trên đường Lam Sơn, quận Tân Bình, trúng đạn bi sắt hư hỏng tài sản, đến nay thủ phạm vẫn chưa được công an lần ra.
Người bắn bi sắt vào nhà dân ở TPHCM có thể bị truy cứu trách nhiệm hình sựLuật sư cho biết việc sử dụng súng bắn bi sắt vào nhà dân gây hư hỏng tài sản là hành vi bị nghiêm cấm. Người gây ra vụ việc có thể bị phạt hành chính hoặc truy cứu trách nhiệm hình sự.