Sống khoẻ với bệnh mạch vành“Bệnh mạch vành” đã trở thành một cụm từ khá quen thuộc đối với những người trung niên và cao tuổi. Và nó sẽ ngày càng trở nên quen thuộc nếu mọi người không tự trang bị cho mình kiến thức cần thiết về sức khỏe.
PGS.TS.BS Phạm Nguyễn Vinh tư vấn bệnh mạch vành, nhồi máu cơ tim trên AloBacsi114h ngày 11/2/2020, PGS.TS.BS Phạm Nguyễn Vinh sẽ có buổi giao lưu trực tuyến xung quanh vấn đề bệnh mạch vành và nhồi máu cơ tim trên AloBacsi.
Bệnh mạch vành có chữa được không? – Tất cả phụ thuộc vào chính bạnBệnh mạch vành có chữa được không luôn là trăn trở của hầu hết người bệnh khi chẳng may mắc phải căn bệnh tim mạch nguy hiểm này. Hãy để chuyên gia tim mạch giúp bạn tìm ra câu trả lời chính xác nhất.
Chăm uống trà, chống bệnh mạch vànhNhững phụ nữ thường xuyên uống trà sẽ giúp cơ thể chống lại việc hình thành các mảng bám ở động mạch, gây ra bệnh mạch vành, làm giảm nguy cơ mắc các bệnh tim mạch, các nhà nghiên cứu Pháp nhấn mạnh.
Triệu chứng bệnh mạch vành không phải lúc nào cũng bắt đầu bằng cơn đau thắt ngựcKhông phải tất cả những người bệnh mạch vành đều có đau thắt ngực trái, mặc dù đó là dấu hiệu điển hình. Ngoài đau thắt ngực còn có nhiều dấu hiệu khác cảnh báo căn bệnh này.
Bệnh mạch vành giai đoạn nào cũng nguy hiểm có thể tước đi mạng sống của bạnBệnh mạch vành nguy hiểm không chỉ vì các cơn đau thắt ngực, đau tim do tắc hẹp động mạch vành mà còn tiềm ẩn nguy cơ tử vong do nhồi máu cơ tim, suy tim.
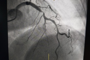
Cẩn trọng cơn đau ngực cấp tính báo động bệnh mạch vành nguy hiểmBệnh nhân 69 tuổi (Thường Tín, Hà Nội) đang ngồi bỗng dưng lên cơn đau ngực dữ dội. Khi gia đình đưa đến viện, bệnh nhân được chụp động mạch vành, phát hiện tổn thương xơ vữa gây tắc mạch, đã phải đặt stent để "thông" dòng chảy thông thoáng cho mạch vành.
Đau thắt ngực không ổn định tới nhồi máu cơ tim chỉ trong gang tấcĐau thắt ngực không ổn định do bệnh mạch vành tiềm ẩn nguy cơ nhồi máu cơ tim, dễ gây tử vong nhanh chóng nếu không được cấp cứu kịp thời.
Việt Nam thuộc nhóm có nguy cơ đột quỵ cao nhất thế giớiBệnh lý tim mạch là nguyên nhân gây tử vong hàng đầu trên thế giới và tại Việt Nam, trong đó bệnh mạch vành, đột quỵ luôn đứng đầu. Việt Nam thuộc nhóm những nước có nguy cơ đột quỵ cao nhất thế giới.
Ba trái táo mỗi ngày, giảm nguy cơ đau timĂn thêm lượng chất xơ tương đương với ba trái táo mỗi ngày sẽ làm giảm 9% nguy cơ bệnh mạch vành và bệnh tim mạch.
Vàng đằng - Thảo dược "vàng" hạ cholesterolBerberin - hoạt chất chính trong cây Vàng đằng đóng vai trò quan trọng trong việc giảm cholesterol, ngăn ngừa bệnh mạch vành, cải thiện chức năng tim.
Ngăn ngừa thoái hóa xương khớp cho người cao tuổi, bạn biết cách chưa?Người cao tuổi thường dễ mắc phải những bệnh mãn tính như đái tháo đường, tăng huyết áp, bệnh mạch vành..., trong đó, phổ biến nhất là thoái hóa xương khớp.