Sợi dây chuyền dài gần 40cm trong dạ dày của trẻ
(Dân trí) - Các bác sĩ Bệnh viện Việt Nam - Thụy Điển Uông Bí, Quảng Ninh vừa nội soi dạ dày, gắp ra dị vật là một sợi dây chuyền bạc dài gần 40cm.
Theo bà ngoại của trẻ, trước đó tại nhà, đang chơi sợi dây chuyền bạc, đột ngột trẻ xuất hiện nôn ọe nhiều và liên tục trong vòng một phút, sau đó kêu đau họng. Người nhà không thấy sợi dây chuyền, nghi trẻ đã nuốt phải nên móc tay vào họng con tìm nhưng không thấy.
Gia đình lập tức đưa trẻ đến Bệnh viện Việt Nam-Thuỵ Điển Uông Bí.

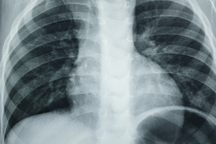
Hình ảnh dị vật trên phim chụp X-quang.
Qua thăm khám, các bác sĩ chẩn đoán đây là một trường hợp dị vật đường tiêu hóa. Ngay sau đó, các bác sĩ đã tiến hành gây mê nội khí quản và nội soi dạ dày. Dị vật gắp ra một sợi dây chuyền dài khoảng 40cm. Sau nội soi, trẻ tỉnh và đã có thể ăn uống trở lại.
Theo Bs CKI. Đỗ Quang Út, Trưởng khoa Nội tiêu hóa, dị vật đường tiêu hóa trên là một tình trạng cấp cứu thường gặp ở mọi lứa tuổi. Khi nghi ngờ trẻ nuốt phải dị vật, gia đình cần đưa trẻ đến cơ sở y tế ngay.

Tuyệt đối không nên tìm cách tự lấy dị vật hoặc cho trẻ ăn để đẩy dị vật xuống. Vì nếu làm như vậy dị vật có thể gây tổn thương nặng hơn, khó xử trí hơn hoặc sặc vào đường thở gây nguy hiểm đến tính mạng của trẻ. Cho trẻ ăn uống sau khi nuốt phải dị vật còn khiến thủ thuật can thiệp lấy dị vật phải trì hoãn do nguy cơ sặc hít khi gây mê.
Dị vật để muộn do can thiệp phải trì hoãn hoặc trẻ đến viện muộn làm giảm cơ hội lấy dị vật thành công bằng nội soi can thiệp tối thiểu, tăng tỷ lệ phải phẫu thuật, gia tăng tỷ lệ biến chứng và có thể gây tử vong.
Hà An













