Cô gái bị đuối nước, phổi lấp đầy bùn
(Dân trí) - Ngày 5/8 bác sĩ Phạm Thanh Phong – Phó Giám đốc Bệnh viện Đa khoa Trung ương Cần Thơ cho biết, bệnh viện vừa cứu sống nữ bệnh nhân bị động kinh ngạt nước suy hô hấp nguy kịch do bùn lấp đầy phổi.

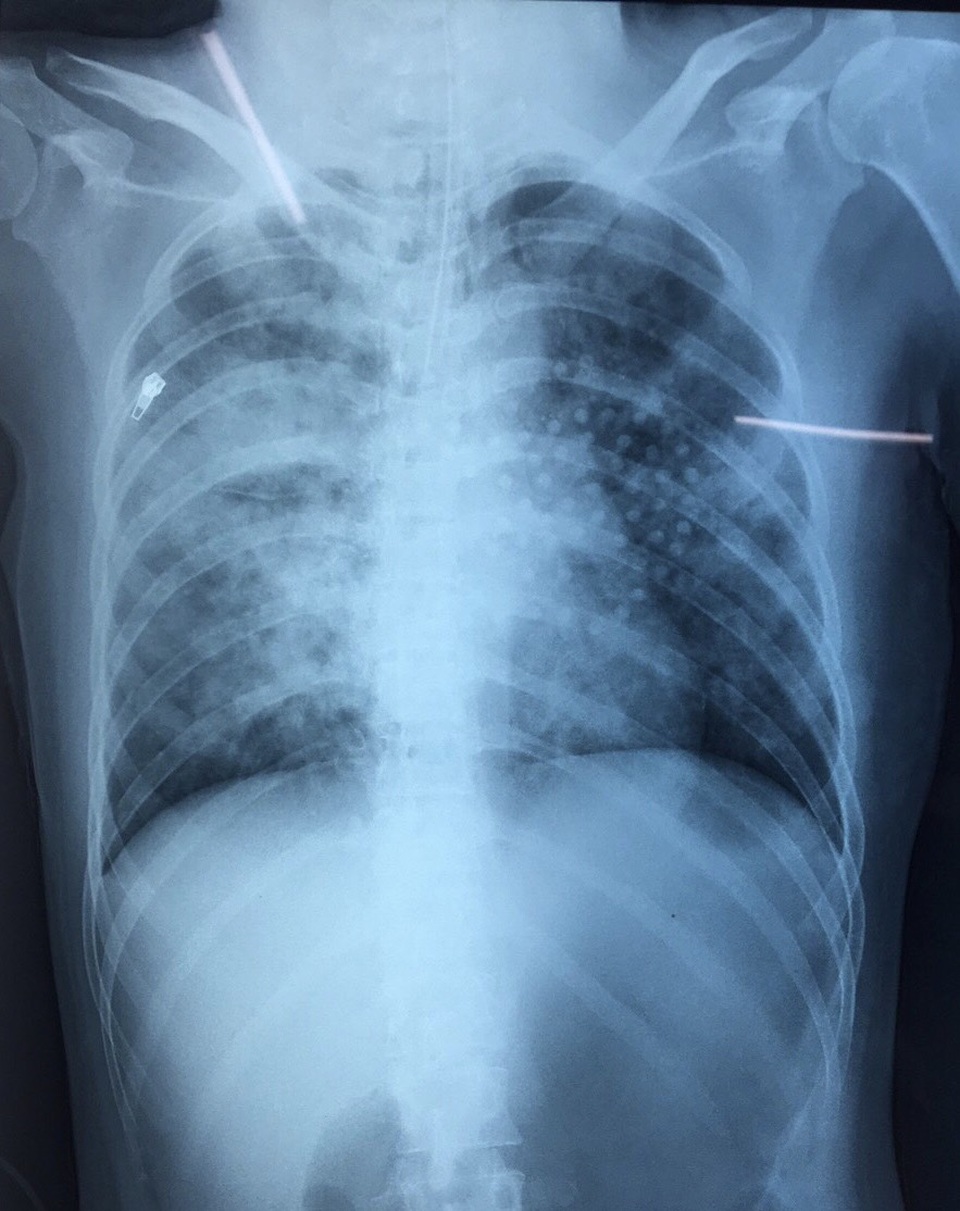
Hình ảnh X-quang cho thấy, bệnh nhân bị tổn thương 2 bên phổi lan tỏa
Ngày 26/7, bệnh nhân N.T.D.T, 33 tuổi, ở Châu Thành A, Hậu Giang, nhập viện ĐKTƯ Cần Thơ trong tình trạng bệnh nhân hôn mê, suy hô hấp nặng, huyết áp thấp.
Bệnh nhân bị động kinh từ năm 4 tuổi, uống thuốc điều trị ngoại trú. Ngày 26/07/2020, bệnh nhân lên cơn co giật ngã xuống ao nước bẩn, người nhà phát hiện và đưa bệnh nhân ra khỏi mặt nước trong tình trạng hôn mê, tím tái, miệng mũi nhiều bùn đất. Sau sơ cứu, bệnh nhân được đưa đến bệnh viện cấp cứu.
Tại bệnh viện ĐKTƯ Cần Thơ, bệnh nhân có chỉ định thở máy, X.quang tim phổi thẳng phát hiện mờ lan tỏa 2 phổi, gãy xương sườn.
Bệnh nhân được chẩn đoán viêm phổi hít - suy hô hấp cấp nguy kịch - hôn mê sau ngưng tim, bệnh nhân ngạt nước.

Từ ngày 26/7 đến ngày 30/7, bệnh nhân thở máy bảo vệ phổi. Kết quả nội soi khí phế quản cho thấy, viêm cấp nặng phế quản 2 bên, ứ đọng nhiều đàm có lẫn bùn đen, đất sình. Bệnh nhân được rửa sạch lấy dịch, cấy kháng sinh đồ... Đến ngày 31/7, bệnh nhân ngưng máy thở và rút nội khí quản.
Hiện tại, bệnh nhân tỉnh, tiếp xúc tốt, không sốt, đã ngưng thở oxy, tiếp tục điều trị và theo dõi tại Khoa Nội hô hấp.
Theo bác sĩ Cao Thị Mỹ Thúy - Trưởng Khoa Nội hô hấp: Viêm phổi hít là tình trạng nhiễm trùng phổi khi một lượng dị vật từ miệng hoặc dạ dày đi vào phổi. Triệu chứng viêm phổi hít thường gặp là sốt, ho xảy ra tương đối cấp tính.
Mức độ nặng của viêm phổi hít rất khác nhau, các triệu chứng bệnh có thể rất mờ nhạt do đáp ứng miễn dịch kém ở người già, hoặc có thể rất nặng nề nếu viêm phổi hít dẫn đến các biến chứng viêm phổi áp xe, suy hô hấp nặng, viêm phổi có sốc nhiễm khuẩn...Trong trường hợp nặng, bệnh nhân nhanh chóng có các triệu chứng tím tái, thở rít, co thắt thanh môn, nếu không được cấp cứu kịp thời bệnh nhân có thể tử vong.











