Bác sĩ “mò” không ra miếng xương cá ghim chặt vào phế quản
(Dân trí) - Đến bệnh viện địa phương sau khi ho sặc trong lúc ăn cơm với cá lóc, ông Hữu T. khẳng định mình bị hóc xương cá nhưng bác sĩ tìm không ra. Hơn 1 tuần sau, ông phải chuyển lên bệnh viện tuyến trên nội soi lấy ra chiếc xương cá đang ghim chặt vào phế quản.
Xương nằm trong đường thở, bác sĩ tuyến dưới “bó tay”
Đó là trường hợp của bệnh nhân Nguyễn Hữu T. (52 tuổi, ngụ tại Bình Dương). Ông T. cho biết, khoảng 10 ngày trước trong lúc đang ăn cơm với món cá lóc, ông bị sặc. Ngay sau đó là những cơn ho dai dẳng, cảm giác có dị vật vướng trong cổ họng.
“Tôi đến bệnh viện địa phương kiểm tra 2 lần, bản thân tôi biết rằng mình đang bị hóc xương nhưng các bác sĩ lại khẳng định tôi không bị vướng chiếc xương nào”.
Sau khi khám và kê toa, bác sĩ cho bệnh nhân về nhà theo dõi. Tuy nhiên những ngày sau đó, những cơn ho, khó thở, có đàm nhớt, tức ngực ngày một nhiều, gia đình quyết định đưa người bệnh lên Bệnh viện Tai Mũi Họng, TPHCM kiểm tra.

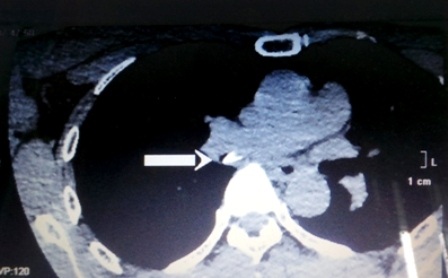
Qua chẩn đoán hình ảnh, bác sĩ phát hiện trong đường thở của bệnh nhân có vật cản quang trong phế quản và ứ khí trong thùy dưới phổi phải. Ngay sau đó, bệnh viện tiến hành nội soi, hình ảnh thám sát phát hiện dị vật là một chiếc xương cá đang gim chặt vào phế quản góc thùy dưới phổi phải. Chiếc xương cá (có kích thước 0,2 x 0,5cm ) nhanh chóng được gắp ra ngoài. Sau nội soi gắp dị vật, tình trạng sức khỏe của bệnh nhân nhanh chóng bình phục.
Dễ nhầm với bệnh lý hô hấp
Qua trường hợp trên, BS Trần Quang Minh, Phó giám đốc Bệnh viện Tai Mũi Họng chia sẻ: Đây là một trường hợp hóc dị vật bị bỏ quên khá điển hình, các biểu hiện của bệnh thường “mượn” triệu chứng của một số bệnh lý đường hô hấp khác nên bác sĩ có thể bị nhầm lẫn hoặc bỏ qua. Trên thực tế đã có nhiều trường hợp hóc dị vật nhưng bác sĩ không tìm ra, các quá trình khám và điều trị sau đó, dễ đi đến những chẩn đoán không chính xác khiến việc điều trị lệch hướng. Đã có ca bệnh điều trị lao phổi nhiều năm nhưng không khỏi khi đến bệnh viện mới phát hiện dị vật nằm trong đường thở.
Dị vật đường thở (bao gồm dị vật vô cơ và hữu cơ) bị bỏ quên có thể dẫn tới nhiều hệ lụy cho người bệnh như: viêm phổi tái đi tái lại điều trị không khỏi; bệnh nhân phải đối mặt với những biến chứng, nhiễm trùng do dị vật gây ra, nhiều ca bệnh bị nhiễm trùng trung thất, khi nhập viện dù phát hiện dị vật nhưng tình trạng nhiễm trùng quá nặng nên bệnh nhân không qua khỏi.
Với những bệnh nhân hóc xương cá, phản xạ tự nhiên của cơ thể là ho khạc. Nếu tình trạng hóc xương nhẹ, mảnh xương mỏng chưa ghim sâu vào niêm mạc, phản xạ ho của cơ thể có thể tống được dị vật ra ngoài. Tuy nhiên, một số trường hợp nặng, hóc phải mảnh xương lớn và sắc (xương gà, xương vịt...) phản xạ ho không thể đẩy được xương ra ngoài.
Những sai lầm khi bị hóc xương
Nhiều nạn nhân bị hóc xương thường đưa tay vào họng, tìm cách móc xương ra ngoài. Tuy nhiên, sự cố gắng này thường bị phản tác dụng, ngón tay quá lớn sẽ đẩy mảnh xương sâu vào thực quản, khí quản, gây trầy xước niêm mạc, nhiễm trùng khiến tình trạng bệnh trở nên nặng hơn.

Việc chẩn đoán, can thiệp hóc xương ở những ca bệnh khó phải dựa vào nhiều phương tiện chuyên môn
Ngoài ra, không ít bệnh nhân bị hóc xương thường cố gắng ăn những miếng rau, miếng cơm, ăn chuối theo kiểu “nuốt chửng” với mục đích thức ăn sẽ kéo mảnh xương xuống đường tiêu hóa. Tuy nhiên, giải pháp này có thể khiến mảnh xương bị chính thức ăn “đóng” vào sâu hơn.
Hiện nay vẫn còn tình trạng, người dân ở vùng nông thôn, vùng sâu vùng xa mỗi khi hóc xương đều tìm đến nhờ “thầy vuốt” – đây có thể là những người chào đời ở tư thế đẻ ngược (chân ra trước đầu ra sau) hoặc những người tự xưng có thể chữa được hóc xương; chữa hóc xương bằng mẹo.
Tuy nhiên, phân tích chuyên môn của BS Minh chỉ ra, các giải pháp can thiệp bằng lực bên ngoài sẽ không thể tác động đến dị vật đang nằm bên trong thực quản hoặc khí quản. Những ca bệnh được “thầy vuốt” thực hiện thành công có thể chỉ là may mắn khi bệnh nhân ho tự tống được xương ra ngoài. Rất nhiều bệnh nhân đã đến bệnh viện trong tình trạng nguy kịch sau khi nhờ “thầy vuốt” nhưng thất bại.
Để tránh nguy hiểm khi bị hóc xương bác sĩ khuyến cáo người bệnh không nên đưa tay vào móc họng, không cố tìm cách lấy xương ra hoặc nhờ thầy vuốt mà nên đến cơ sở y tế gần nhất nhờ hỗ trợ. Nếu là hóc xương ở vị trí gần chỉ cần đè lưỡi bác sĩ sẽ dễ dàng gắp được dị vật, nếu hóc xương ở vị trí xa cần phải can thiệp chuyên môn sâu.
Vân Sơn










