Bút nằm trong dạ dạy suốt 6 tháng mà không biết
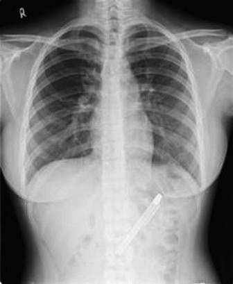
(Dân trí) - Các bác sĩ ở Đài Loan đã phát hiện và gắp ra một chiếc bút máy nằm trong dạ dày của một thiếu nữ suốt 6 tháng trời không hay biết sau khi bệnh nhân này có những biểu hiện đau và co thắt ở dạ dày.

Nữ sinh 20 tuổi (được giấu tên) ở Đài Loan đã phải chịu đựng những cơn đau co thắt ở dạ dày suốt 6 tháng liền trước khi các bác sĩ ở bệnh viện thành phố Đài Bắc phát hiện và loại bỏ chiếc bút máy ra khỏi cơ thể cô.
Chiếc bút được phát hiện sau khi bệnh nhân được nội soi và chụp X-Quang.

Các bác sĩ cho biết chiếc bút này đã nằm trong cơ thể bệnh nhân suốt một thời gian dài và đã bị hoen gỉ do môi trường axit trong dạ dày. Nếu chiếc bút không được phát hiện và loại bỏ sớm thì nó có thể gây ra những biến chứng nguy hiểm hơn, thậm chí ảnh hưởng đến tính mạng.
Bản thân nữ bệnh nhân không nhớ rõ mình đã nuốt chiếc bút vào khi nào. Tuy nhiên, cô gái này cho rằng sự việc có thể đã xảy ra trong buổi liên hoan say sưa sau kỳ thi.
Đình Huế
Theo Metro/AU










