Vì sao một số nam giới đi đại tiện lâu hơn?Vì sao một số đàn ông lại đi đại tiện lâu đến thế và liệu có nguyên nhân khoa học nào hay không?
Chủ quan khi đi đại tiện, một người đàn ông suýt mất mạngMột người đàn ông xuất huyết tiêu hóa suýt chết do bị tình trạng đi đại tiện phân đen kèm máu nhiều lần nhưng nghĩ rối loạn tiêu hóa.
Khách Trung Quốc cho cháu đi đại tiện ngay trên xe busMạng xã hội Trung Quốc đang “dậy sóng” vì đoạn video ghi cảnh hai vị khách lớn tuổi lấy túi nilong cho cháu gái đi đại tiện ngay trên xe bus.
Đi đại tiện bao lần mỗi ngày là bình thường?Ai cũng có lúc lo lắng về số lần đi đại tiện của mình, số lần nhiều hay ít dường như liên quan với tình trạng tiêu chảy hay từ táo bón. Vậy các chuyên gia lý giải thế nào về điều này?
01:28Clip hướng dẫn đi đại tiện đúng tư thế để giữ sức khỏe “gây sốt”Clip hướng dẫn đi đại tiện đúng tư thế để giữ sức khỏe “gây sốt”
Tên trộm bị tóm vì... đi đại tiện quên xả nước trong nhà nạn nhânThông thường những tên trộm sẽ không để lại dấu vết nào sau khi đột nhập vào nhà các nạn nhân. Nhưng một tên trộm tại bang California (Mỹ) lại phạm phải sai lầm nghiêm trọng khi đi đại tiện trong nhà của nạn nhân mà quên xả nước.
Thực hư việc trẻ mầm non phải đi đại tiện vào... túi nylon(Dân trí)- Xã Hữu Bằng (huyện Thạch Thất, Hà Nội) được đánh giá là xã giàu có nhờ buôn bán và làm đồ gỗ. Chính vì thế thông tin gần 600 HS và 42 giáo viên Trường mầm non công lập xã phải đi đại tiện vào... túi nylon khiến dư luận không tránh khỏi sự hoài nghi.
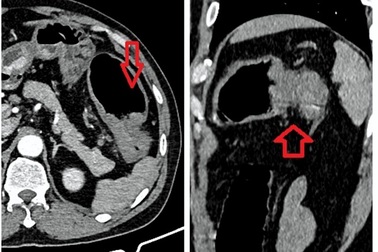
Phát hiện u trực tràng khủng nhờ dấu hiệu đi đại tiện khóBệnh nhân thường xuyên có biểu hiện đi đạ tiện khó, khuôn phân dẹt, có nhầy máu… nhưng phải đến khi người mệt mỏi, sút cân mới đến viện. Các bác sĩ phát hiện khối u trực tràng với kích thước lên đến 5,5cmx 13,5cm.
Phẫn nộ trước hình ảnh du khách đi đại tiện ở bãi biển nổi tiếngCảnh sát địa phương đã tiến hành điều tra sau khi xuất hiện bức ảnh tố cáo một nữ du khách nước ngoài thản nhiên đại tiện tại một bãi biển nổi tiếng ở nước này được cư dân mạng chia sẻ hàng loạt trên các trang mạng xã hội.
Hà Nội: Thích ăn phở tái, cô gái có sán 6m ngọ nguậy trong ngườiCô gái trẻ phát hoảng khi nhiều lần thấy vật màu trắng ngọ nguậy lúc đi đại tiện nên quyết định đến bệnh viện thăm khám.
Cảnh báo ung thư đại tràng từ những dấu hiệu tưởng thông thườngNgười đàn ông 53 tuổi vào viện với lý do đau bụng từng cơn, chướng bụng, không đi đại tiện được. Bác sĩ chẩn đoán ông bị ung thư đại tràng giai đoạn 3.
Đại tiện ra máu - chớ nên coi thườngBệnh nhân 37 tuổi đi khám vì đi ngoài ra máu. Trước đó, bệnh nhân thường xuyên có khối sa lồi hậu môn khi đi đại tiện nên nghĩ là bị bệnh trĩ. Tuy nhiên kết quả lại là tổn thương tiền ung thư.