Trường Đại học Anh Quốc Việt Nam trao đổi ý định thư với Đại học Manchester MetropolitanÝ định thư đánh dấu bước tiến quan trọng trong hợp tác giữa hai trường, hướng tới triển khai các chương trình đào tạo kết hợp chuẩn học thuật nghiêm ngặt của Manchester Metropolitan với môi trường học tập chuẩn 5 sao tại BUV.
Học bổng 100% học phí tại Đại học Manchester, Anh quốcVISCO tiếp tục tuyển sinh cho Đại học Manchester với chương trình học bổng lên tới 100% học phí cho khóa học Dự bị Thạc sĩ, 50% học phí chương trình A level, Dự bị Đại học và Năm I Đại học.
Đại học Manchester – đội bóng thành Man và học bổng du học AnhManchester - nổi tiếng với hai đội bóng đá Manchester United - Manchester City, cũng là quê hương của Đại học Manchester danh tiếng và Manchester Metropolitant trẻ trung…, nơi cung cấp cho bạn những trải nghiệm học tập quý giá và bằng cấp quốc tế, đem lại cơ hội làm việc toàn cầu.
Chống nhiễm trùng phổi nhờ… hít đườngCác nhà nghiên cứu từ đại học Manchester (Anh) phát hiện ra rằng hít… đường có thể kích thích hệ thống miễn dịch của phổi để chống lại nhiễm trùng.
Phỏng vấn học bổng khóa Foundation, Diploma và Pre-masterPhỏng vấn tại các trườngĐại học Exeter, Đại học City London, Đại học Manchester,Đại học Queen Belfast, Đại học East Anglia.
Công nghệ mới trong sản xuất khẩu trang loại trừ 99% các loại virus cúmMột nghiên cứu được tiến hành bởi Đại học Manchester, Anh, đã tạo ra công nghệ mới trong sản xuất khẩu trang để lọc và giết chết hơn 99% các loại virus cúm.
Phát hiện cách ngăn chặn bệnh nhân ung thư bị rụng tóc trong quá trình hóa trịCác nhà nghiên cứu từ Đại học Manchester vừa phát hiện ra một cách mới để bảo vệ nang tóc khỏi taxanes - một nhóm thuốc dùng để hóa trị có thể gây rụng tóc vĩnh viễn.
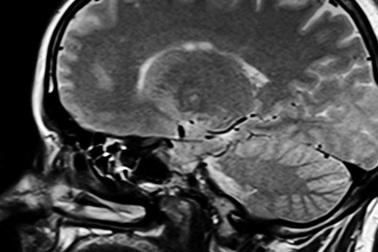
"Điều chỉnh" bộ não để làm giảm đauLần đầu tiên các nhà khoa học tại Đại học Manchester đã chỉ ra rằng, nếu não được “điều chỉnh trong” đến một tần số cụ thể thì cơn đau mãn tính có thể được giảm nhẹ.
Chế tạo thành công màng lọc nước biển thành nước uốngCác nhà khoa học tại Đại học Manchester, Anh, đã chế tạo thành công màng lọc graphene-oxide có khả năng loại bỏ muối khỏi nước biển để chuyển thành nước uống.
Biến nước biển thành nước uống nhờ tấm màng graphen lọc muốiCác nhà nghiên cứu ở Đại học Manchester (Anh) đã phát minh ra một loại màng graphen ô-xít có thể lọc muối khỏi nước biển và tạo ra nước uống.
Loại bỏ các nguyên tố phóng xạ khỏi chất thải hạt nhân bằng phân tử asenCác nhà nghiên cứu tại Trường Đại học Manchester đã tiết lộ cách sử dụng các phân tử asen để loại bỏ các nguyên tố độc hại nhất từ chất thải hạt nhân phóng xạ.
Anh: “Giường tổ kén” cho sinh viên ngủ trưaCó lẽ chỉ ở Đại học Manchester (Anh ) sinh viên mới có thể thoải mái ngủ một giấc ngon lành trong một chiếc giường tổ kén ấm áp và tiện nghi ngay trong thư viện trường.