Trướng bụng, nôn ói ở người lớn tuổi coi chừng bệnh nguy hiểm
(Dân trí) - Cụ bà 88 tuổi nhập viện trong tình trạng nôn ói, trướng bụng, sức khỏe suy kiệt. Qua thăm khám, bác sĩ xác định ruột non của cụ chui vào lỗ bịt gây tắc ruột, hoại tử, đe dọa tính mạng.
Đó là trường hợp cụ Nguyễn Thị N. (88 tuổi) được điều trị tại một bệnh viện tư ở TPHCM. Ngày 23/5, thông tin từ bệnh viện cho hay, một ngày trước khi phải vào cấp cứu cụ có biểu hiện đau bụng không rõ nguyên nhân. Những cơn đau diễn tiến nặng thêm kèm theo ói nhiều, bụng trướng lớn, cụ không đi tiêu được nên gia đình đưa tới bệnh viện.

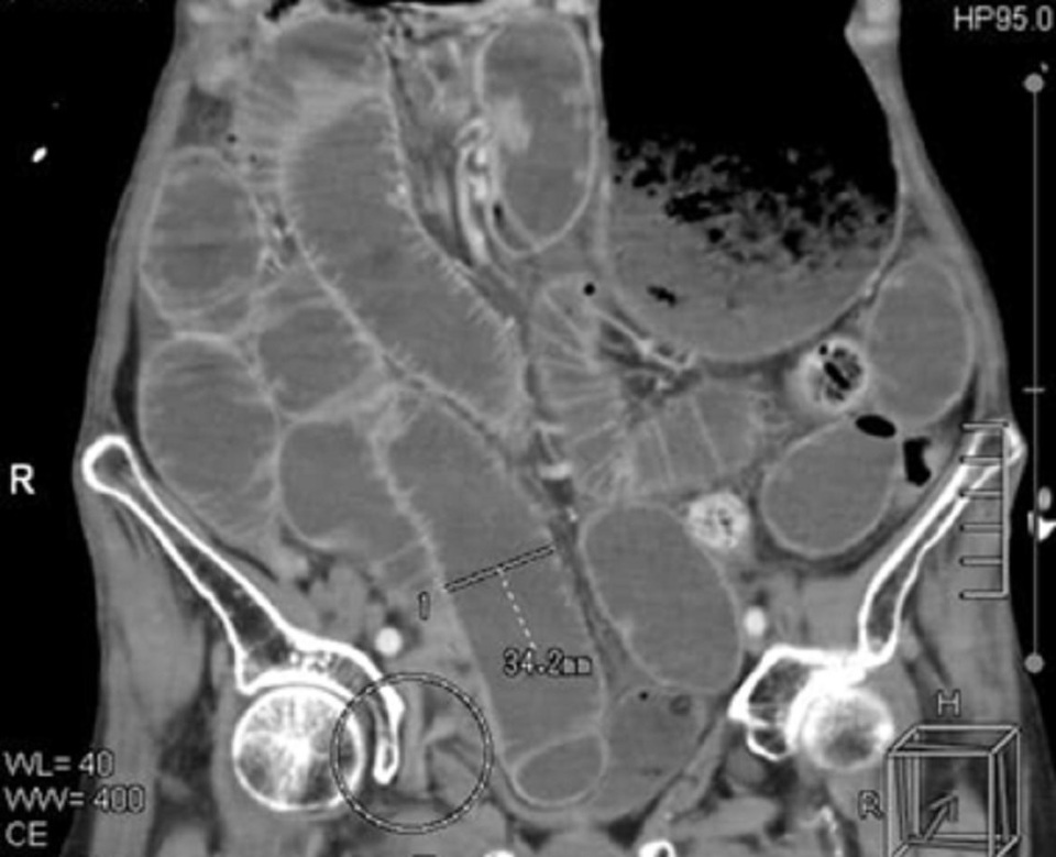
Hình ảnh kiểm tra cho người bệnh, bác sí phát hiện ruột non chui vào lỗ bịt
Qua thăm khám, chẩn đoán hình ảnh, bác sĩ phát hiện bệnh nhân bị tắc ruột, nhiễm trùng nặng trên nền bệnh tim và bệnh thận mạn tính. Truy tìm nguyên nhân gây ra tình trạng trên ở người bệnh, bác sĩ ghi nhận hình ảnh phim CT có 1 quai ruột non chui vào lỗ bịt dẫn tới tắc ruột và hoại tử ruột.
Cùng với nỗ lực hồi sức, sau hội chẩn các bác sĩ quyết định phẫu thuật cấp cứu để cắt đoạn ruột hoại tử và nối ruột ngay trong đêm bệnh nhân vào viện. Cuộc mổ được thực hiện thành công giúp cụ bà thoát khỏi nguy cơ nhiễm trùng toàn thể đe dọa tính mạng. Gần 1 tuần hậu phẫu, chăm sóc tích cực, sức khỏe bệnh nhân đã bình phục tốt.

Sau phẫu thuật, chăm sóc tích cực sức khỏe bệnh nhân đã bình phục tốt
BS-CKII Nguyễn Thanh Thoại, khoa Ngoại Tiêu Hóa của bệnh viện này, cho biết: “Thoát vị bịt là bệnh hay xảy ra ở phụ nữ lớn tuổi, gầy, sinh nhiều con. Nguyên nhân của bệnh là do một phần quai ruột bị mắc kẹt trong lỗ bịt gây ra tình trạng tắc nghẽn dẫn tới thiếu máu, hoại tử ruột. Triệu chứng của bệnh không điển hình nên việc chẩn đoán sớm thường khó khăn, diễn biến phức tạp. Nếu không được phát hiện sớm, ruột hoại tử sẽ bị thủng gây nhiễm trùng ổ bụng, trên nền cơ địa của người lớn tuổi, nguy cơ biến chứng tử vong rất cao”.
Từ trường hợp trên, bác sĩ khuyến cáo, khi có dấu hiệu đau bụng, nôn ói, trướng bụng, không đi tiêu được, đặc biệt ở người lớn tuổi, gầy, sinh nhiều bệnh nhân cần được đưa ngay đến cơ sở y tế có chuyên khoa Tiêu Hóa để được bác sĩ chẩn đoán, điều trị kịp thời, tránh nguy cơ bệnh diễn tiến nặng, đe dọa tính mạng.
Vân Sơn





