"Người đầu to" - bí ẩn thời cổ đạiCó thể một nhóm người cổ đại chưa từng được biết, đã sống cùng thời với người tinh khôn ở Đông Á cách đây hơn 100.000 năm.
Khu rừng thời cổ đại 10.000 năm tuổi chìm dưới đáy biểnNhóm nghiên cứu đang khám phá dấu tích của một khu rừng từ thời cổ đại khoảng 10.000 năm tuổi bị chìm dưới nước.
Xác minh vật thể giống răng hóa thạch của loài vật thời cổ đạiTrong lúc ra bờ suối sau cơn lũ, anh Tuyên nhặt được một vật thể lạ. Nghi ngờ đây là răng hóa thạch của loài vật từ thời cổ đại, anh Tuyên đưa về nhà cất giữ.
Giới nhà giàu thời cổ đại sử dụng hệ thống phòng tắm hoành tráng cỡ nào?Từ tàn tích còn sót lại, các nhà khảo cổ phát hiện khu phức hợp nhà tắm của một thành viên trong giới thượng lưu La Mã cổ đại (Campania, Italia) được thiết kế cầu kỳ với không gian đủ cho 30 người.
Du lịch tình dục thời cổ đạiTrong năm 2017, Paphos - khu du lịch ở Tây Cyprus – sẽ trở thành “Thủ đô Văn hóa” của châu Âu. Điều này gây ngạc nhiên cho chính cả những cư dân bản địa.
Phát hiện đồ chơi thời cổ đạiCác nhà khảo cổ Anh vừa phát hiện ra một bằng chứng cho thấy trẻ em thời cổ đại cũng yêu thích đồ chơi không kém gì trẻ em thời nay. Họ đã tìm thấy một con nhím đồ chơi trong ngôi mộ của một em bé 3 tuổi.
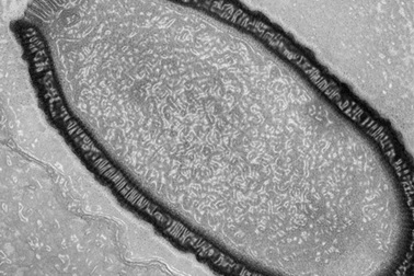
Thảm họa tiềm ẩn từ thời cổ đại(Dân trí)- Nghiên cứu từ một mẫu đất có niên đại khoảng 34-37 nghìn năm, các nhà khoa học đã phát hiện ra một loại vi-rút cổ đại vẫn có khả năng phục hồi.
Cung điện bí ẩn từ thời cổ đại đột nhiên xuất hiện ở hồ nước sau hạn hánMột cung điện từ thời cổ đại có niên đại khoảng 3400 năm tuổi đột ngột xuất hiện ở hồ nước khi lượng nước giảm mạnh sau đợt hạn hán kéo dài.
Phát hiện sư tử khổng lồ thời cổ đại ở KenyaCon thú này nặng đến 1.500 kg và có những chiếc răng nanh cực lớn. Người ta đã tìm thấy bộ xương của nó nhiều năm trước nhưng lâu nay vẫn tưởng là xương của một loài vật khác.
02:00Cung điện bí ẩn từ thời cổ đại tuổi đột nhiên xuất hiện ở hồ nước sau hạn hánMột cung điện từ thời cổ đại có niên đại khoảng 3400 năm tuổi đột ngột xuất hiện ở hồ nước sau đợt hạn hán kéo dài.
Chúng ta liệu có đang lầm tưởng về cuộc sống của phụ nữ dưới thời cổ đại?Không hề bị đối xử bất công và mất hết các quyền tự do chính đáng như chúng ta vẫn nghĩ, phụ nữ ở nhiều nền văn minh lớn thời cổ đại vẫn được đi học, chủ động kết hôn và thậm chí là thừa kế ngai vàng như đàn ông.