Trẻ bị sốt, đau vùng hông lưng coi chừng áp xe thận
(Dân trí) - Nhập viện trong tình trạng bị sốt, lạnh run kéo dài cả tháng kèm theo đau vùng hông lưng, qua thăm khám bác sĩ xác định bệnh nhi bị áp xe thận. Đây là bệnh lý hiếm gặp, khó chẩn đoán, nếu không được điều trị sớm sẽ gây nguy hiểm cho người bệnh.
Đó là trường hợp bệnh nhi H.N.L. (15 tuổi, ngụ tại Bến Tre) vừa được tiếp nhận, điều trị tại Bệnh viện Nhi Đồng 2. Trước đó, cháu được gia đình đưa đến bệnh viện địa phương thăm khám, bác sĩ đã tiến hành các kiểm tra cần thiết và chẩn đoán “theo dõi u thận” sau đó chuyển bệnh lên Nhi Đồng 2.

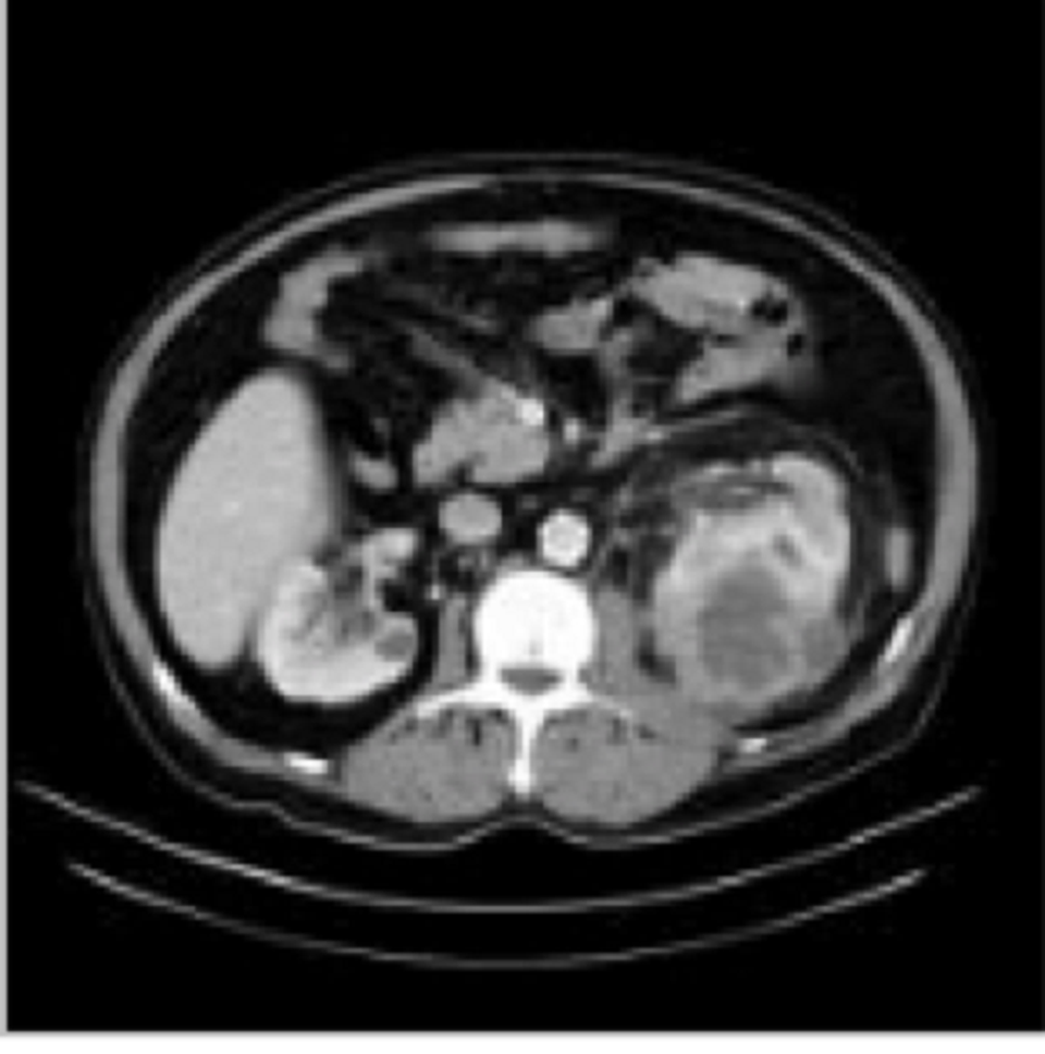
Kết quả CT-Scan bụng ghi nhận nhưng dấu hiệu bất thường ở thận của trẻ
Tại đây, qua khai thác bệnh sử của bác sĩ từ người nhà được biết, cách nhập viện khoảng 1 tháng bệnh nhi thường sốt lạnh run, kèm đau vùng hông lưng bên trái, ăn uống kém, mệt mỏi. Các bác sĩ xác định đây là một bệnh lý cấp tính nhiễm trùng. Qua thăm khám toàn diện ghi nhận bệnh nhi có triệu chứng “rung thận” dương tính, sờ đau vùng hông trái.
Kết quả CT-scan cho thấy bệnh nhi có ổ áp xe thận trái, đây là một bệnh lý tương đối hiếm gặp ở trẻ em, nguy cơ nhiễm trùng huyết nặng hoặc phải phẫu thuật dẫn lưu khối áp xe nếu không được điều trị kịp thời. Ngay sau chẩn đoán, bác sĩ đã tiến hành điều trị tích cực cho bệnh nhi với kháng sinh mạnh. Sau hơn hai tuần, bệnh nhi hết sốt, sức khỏe bình phục, vùng hông lưng hầu như không còn đau. Kiểm tra trên siêu âm cho thấy khối áp xe đáp ứng giảm kích thước.
Theo TS.BS Phạm Ngọc Thạch, Phó Giám đốc Bệnh viện Nhi đồng 2, áp xe thận là hiện tượng xuất hiện ổ mủ quanh thận hoặc tại thận do có nhiễm trùng các mô mềm xung quanh thận hay nhiễm trùng mô thận ngoại vi. Đây là một bệnh phổ biến do những chấn thương và nhiễm trùng có liên quan đến sỏi thận. Khi bị áp xe thận, bệnh nhi thường có biểu hiện sốt kèm lạnh run; đau vùng hông lưng; tiểu đau, tiểu có máu; hạ huyết áp, da nhợt nhạt, nhịp tim nhanh; sụt cân.
Bệnh nhi bị áp xe thận nếu không được chữa trị kịp thời sẽ dẫn đến suy thận. Bác sĩ khuyến cáo phụ huynh nên chủ động đưa trẻ đến bệnh viện càng sớm càng tốt khi có những biểu hiện bất thường về sức khỏe để bác sĩ chẩn đoán, điều trị sớm, tránh nguy hiểm có thể xảy ra.
Li Uyên





