Nghệ An:
Can thiệp nút mạch hỗ trợ phẫu thuật u não lớn
(Dân trí) - Ngày 7/10, BV HNĐK Nghệ An cho biết: ca phẫu thuật khối u não lớn nhất các bác sỹ từng gặp của một bệnh nhân 53 tuổi tại bệnh viện này đã được thực hiện nhờ áp dụng kỹ thuật nút động mạch để cầm máu.

Trước đó, ngày Bệnh nhân Nguyễn Văn Thường (SN 1963, thị trấn Thanh Chương, huyện Thanh Chương, Nghệ An) nhập viện trong tình trạng đau đầu nhiều, kéo dài, yếu liệt nửa người bên phải, giảm trí nhớ, tiền sử đã xuất hiện những cơn co giật, có dấu hiệu hôn mê.
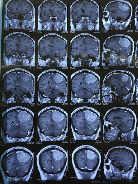
Qua hình ảnh chụp phim MRI, phát hiện hình ảnh khối choán chỗ lớn vùng đỉnh chẩm não sau, các bác sỹ xác định bệnh nhân Thường bị U màng não thể biểu mô độ 1.
Xác định mức độ nguy hiểm của khối U não lớn, buổi hội chẩn liên khoa Thần kinh và Phẫu thuật thần kinh cột sống quyết định can thiệp mạch máu não nuôi khối U trước khi phẫu thuật loại bỏ.

Ngày 22/9, ê kíp can thiệp mạch của khoa thần kinh đã tiến hành chụp mạch cho bệnh nhân để đánh giá mạch máu nuôi và tác động mạch nuôi khối u não. Từ đó, êkip xác định rõ động mạch màng não giữa cung cấp lượng lớn máu nuôi u.
“Chúng tôi sử dụng một ống siêu nhỏ, luồn từ động mạch đùi, tại vị trí cuống mạch nuôi khối u, các hạt vật liệu được bơm vào mạch máu, làm giảm dần khẩu kính lòng mạch và cuối cùng gây tắc mạch. Nút mạch trước mổ làm giảm lượng máu tới u,hạn chế nguy cơ chảy máu ồ ạt trong phẫu thuật; đồng thời làm khối u hoại tử dần, thời gian phẫu thuật được rút ngắn, tăng tính an toàn cho người bệnh”, Bác sỹ Lê Quang Toàn, khoa thần kinh cho biết.

3 ngày sau ca can thiệp nút mạch não, ngày 26/9, khi sức khỏe bệnh nhân Thường đã ổn định, đảm bảo, ê kíp bác sỹ khoa Phẫu thuật thần kinh cột sống của bệnh viện tiến hành phẫu thuật cắt bỏ toàn bộ khối u não của bệnh nhân thuận lợi và an toàn.
Thạc sỹ Hoàng Kim Tuấn - Phó trưởng khoa Phẫu thuật thần kinh cột sống nhận định: “Khối u ở màng não của bệnh nhân Thường có kích thước lớn nhất từ trước tới nay chúng tôi từng gặp (6x7cm), chiếm 1/4 não bộ, chèn đẩy, đè ép nhiều phần não.
Khối u lại nằm ở vị trí bán cầu não ưu thế nên số lượng mạch máu đến nuôi nhiều. Chính vì vậy, việc dùng phương pháp can thiệp nút động mạch để cầm máu trước mổ cho những khối u não lớn đem lại hiệu quả cao.

Khi tiến hành cắt bỏ khối u tránh tác động tới các mô não xung quanh, ít gây tai biến chảy máu, giảm thiểu nguy cơ ảnh hưởng tính mạng người bệnh trên bàn mổ. Nếu bệnh nhân không được phẫu thuật kịp thời, kích thước khối u ngày càng to, sẽ ảnh hưởng sức khỏe rất lớn bởi các biến chứng: liệt người, tần suất các cơn động kinh tăng lên, hôn mê, thậm chí gây tử vong”.
Hiện nay, sau thời gian hậu phẫu hồi sức tích cực, bệnh nhân Thường đã tỉnh táo, sức khỏe ổn định, khôi phục vận động và tiến triển khá hơn từng ngày.
Được biết, phương pháp can thiệp mạch não và Phẫu thuật thần kinh là những kỹ thuật cao, đòi hỏi chuyên môn sâu.
“Những phương pháp này chủ yếu áp dụng ở các bệnh viện lớn, tuyến trung ương. Ưu điểm giúp hạn chế tối đa nguy cơ tai biến trong mổ ở các khối u lớn và các khối dị dạng nhằm giảm các biến chứng sau mổ, giúp bệnh nhân nhanh chóng hồi phục; đồng thời tiết kiệm chi phí điều trị cho bệnh nhân nghèo”, Thạc sỹ Hoàng Kim Tuấn chia sẻ.
Thành công của ca bệnh là sự phối hợp nhịp nhàng của các chuyên khoa: Nội thần kinh, Phẫu thuật thần kinh cột sống và Tổ can thiệp mạch.
Hoàng Yến










