8 dấu hiệu cảnh báo ung thưMặc dù ung thư rất đáng sợ, nhưng phát hiện sớm sẽ giúp làm tăng cơ hội sống và ngăn chặn sự phát triển hoặc lan rộng của bệnh. Dưới đây là 8 dấu hiệu cảnh báo bệnh ung thư cần xem xét nghiêm túc.
8 dấu hiệu cho thấy bạn không ăn đủ rauBạn có thể nghĩ rằng mình đã ăn đủ rau, nhưng rất có thể bạn đã sai. Nếu có 8 dấu hiệu dưới đây, bạn cần phải điều chỉnh chế độ ăn, thêm khẩu phần rau vào bữa ăn hàng ngày.
8 dấu hiệu cảnh báo ung thư máuCảm giác đau sâu trong xương là một trong những dấu hiệu chủ yếu của ung thư máu. Ngoài ra, người bệnh có thể thấy đau bụng, dễ bầm tím, thường xuyên bị sốt…
8 dấu hiệu cảnh báo ung thư phổiỞ giai đoạn đầu, ung thư phổi thường không gây ra các dấu hiệu. Khi thấy ho ra máu, ho mãi không khỏi, tức ngực, khó thở… là bệnh đã chuyển sang giai đoạn nặng.
8 dấu hiệu cảnh báo ung thư dạ dàyCác triệu chứng ung thư dạ dày hiếm khi xảy ra trừ khi bệnh lây lan khắp dạ dày và sang các cơ quan khác.
8 dấu hiệu cảnh báo cơn đau tim"Cậu bé vàng" của bóng đá Argentina, Diego Maradona, vừa qua đời sau một cơn đau tim khi mới bước qua tuổi 60 tuổi.
8 dấu hiệu báo động nguy cơ ung thưBỗng dưng sút cân không rõ nguyên nhân; thay đổi thói quen đại tiện; trên người xuất hiện khối u nhú... là một trong những dấu hiệu báo động đỏ nguy cơ ung thư.
Nhận biết sớm 8 dấu hiệu ung thư ganUng thư gan là một trong những nhóm ung thư có khả năng cao đe dọa đến sức khỏe và tính mạng người bệnh.
8 dấu hiệu phổ biến cảnh báo ung thưGiảm cân, sốt, đau và mệt, thay đổi về da, đổ mồ hôi về đêm… đều có thể là những dấu hiệu cảnh báo ung thư đang hiện hữu.
8 dấu hiệu thầm lặng của thiếu vitamin KVitamin K1 đóng vai trò quan trọng trong quá trình đông máu, trong khi K2 quan trọng hơn đối với sức khỏe của xương, điều hòa sự phát triển của tế bào và ngăn ngừa vôi hóa động mạch.
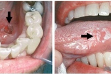
8 dấu hiệu cảnh báo sớm ung thư khoang miệngUng thư khoang miệng là tổn thương ác tính xuất hiện tại vùng khoang miệng như: lưỡi, lợi hàm dưới, niêm mạc má, sàn miệng, lợi hàm trên, khẩu cái. Nhận biết dấu hiệu ung thư khoang miệng như thế nào?
8 dấu hiệu ung thư nhiều người thường không biếtCăn bệnh ung thư ngày càng trở thành nỗi ám ảnh đối với mỗi người. Khi nói đến đau nhức, ho, nổi hạch hoặc các vấn đề sức khỏe khác, đa số mọi người thường nghĩ rằng đó chỉ là các bệnh thông thường.